Antibody data
- Antibody Data
- Antigen structure
- References [0]
- Comments [0]
- Validations
- Immunohistochemistry [1]
Submit
Validation data
Reference
Comment
Report error
- Product number
- ARG52931 - Provider product page

- Provider
- Arigo
- Product name
- anti-CYR61 antibody
- Antibody type
- Polyclonal
- Antigen
- Synthetic peptide corresponding to internal region of human CYR61.
- Description
- Immunogen affinity purified
- Reactivity
- Human
- Host
- Rabbit
- Isotype
- IgG
- Vial size
- 500 µl
- Storage
- Aliquot and store at 2-8°C. Do not freeze. The antibody solution should be gently mixed before use.
- Handling
- The antibody solution should be gently mixed before use.
No comments: Submit comment
Supportive validation
- Submitted by
- Arigo (provider)
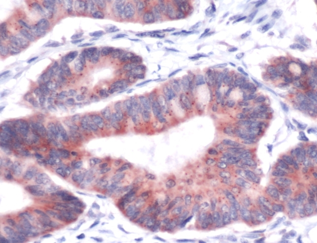
- Main image

- Experimental details
- Immunohistochemistry: Human Colon stained with CYR61 antibody (ARG52931)