Antibody data
- Antibody Data
- Antigen structure
- References [0]
- Comments [0]
- Validations
- Western blot [1]
- Immunohistochemistry [4]
Submit
Validation data
Reference
Comment
Report error
- Product number
- LS-C427029 - Provider product page

- Provider
- LSBio
- Product name
- BARHL2 Antibody (aa165-214, HRP) LS-C427029
- Antibody type
- Polyclonal
- Description
- Immunoaffinity purified
- Reactivity
- Human, Rat, Bovine, Canine, Guinea Pig, Horse, Simian
- Host
- Rabbit
- Conjugate
- Horseradish Peroxidase
- Isotype
- IgG
- Storage
- Short term: store at 4°C. Long term: add glycerol to 40-50%, aliquot to avoid freeze-thaw cycles, and store at -20°C. Protect from light.
No comments: Submit comment
Enhanced validation
- Submitted by
- LSBio (provider)
- Enhanced method
- Genetic validation
- Main image

- Experimental details
- HepG2 Cell Lysate. This image was taken for the unconjugated form of this product. Other forms have not been tested.
Supportive validation
- Submitted by
- LSBio (provider)
- Enhanced method
- Genetic validation
- Main image

- Experimental details
- BARHL2 antibody ARP31981_P050-NP_064447-BARHL2 (BarH-like 2 (Drosophila)) Antibody was used in IHC to stain formalin-fixed, paraffin-embedded human kidney. This image was taken for the unconjugated form of this product. Other forms have not been tested.
- Submitted by
- LSBio (provider)
- Enhanced method
- Genetic validation
- Main image

- Experimental details
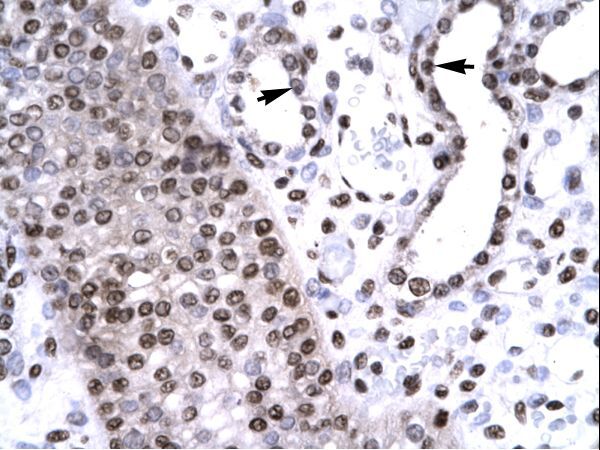
- BARHL2 antibody ARP31981_P050-NP_064447-BARHL2 (BarH-like 2 (Drosophila)) Antibody was used in IHC to stain formalin-fixed, paraffin-embedded human lung. This image was taken for the unconjugated form of this product. Other forms have not been tested.
- Submitted by
- LSBio (provider)
- Enhanced method
- Genetic validation
- Main image

- Experimental details
- BARHL2 antibody ARP31981_P050-NP_064447-BARHL2 (BarH-like 2 (Drosophila)) Antibody was used in IHC to stain formalin-fixed, paraffin-embedded human kidney. This image was taken for the unconjugated form of this product. Other forms have not been tested.
- Submitted by
- LSBio (provider)
- Enhanced method
- Genetic validation
- Main image

- Experimental details
- BARHL2 antibody ARP31981_P050-NP_064447-BARHL2 (BarH-like 2 (Drosophila)) Antibody was used in IHC to stain formalin-fixed, paraffin-embedded human lung. This image was taken for the unconjugated form of this product. Other forms have not been tested.