Antibody data
- Antibody Data
- Antigen structure
- References [0]
- Comments [0]
- Validations
- Western blot [1]
- Immunohistochemistry [8]
Submit
Validation data
Reference
Comment
Report error
- Product number
- LS-C114893 - Provider product page

- Provider
- LSBio
- Product name
- DCXR Antibody (clone OTI4H10) LS-C114893
- Antibody type
- Monoclonal
- Description
- Protein A/G purified
- Reactivity
- Human
- Host
- Mouse
- Isotype
- IgG
- Antibody clone number
- OTI4H10
- Storage
- Store at -20°C. Avoid freeze-thaw cycles.
No comments: Submit comment
Enhanced validation
- Submitted by
- LSBio (provider)
- Enhanced method
- Genetic validation
- Main image

- Experimental details
- HEK293T cells were transfected with the pCMV6-ENTRY control (Left lane) or pCMV6-ENTRY DCXR (Right lane) cDNA for 48 hrs and lysed. Equivalent amounts of cell lysates (5 ug per lane) were separated by SDS-PAGE and immunoblotted with anti-DCXR.
Enhanced validation
- Submitted by
- LSBio (provider)
- Enhanced method
- Genetic validation
- Main image

- Experimental details
- IHC of paraffin-embedded liver tissue using anti-DCXR mouse monoclonal antibody. (Dilution 1:50).
- Submitted by
- LSBio (provider)
- Enhanced method
- Genetic validation
- Main image

- Experimental details
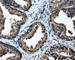
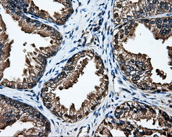
- IHC of paraffin-embedded prostate tissue using anti-DCXR mouse monoclonal antibody. (Dilution 1:50).
- Submitted by
- LSBio (provider)
- Enhanced method
- Genetic validation
- Main image

- Experimental details
- IHC of paraffin-embedded liver tissue using anti-DCXR mouse monoclonal antibody. (Dilution 1:50).
- Submitted by
- LSBio (provider)
- Enhanced method
- Genetic validation
- Main image

- Experimental details
- IHC of paraffin-embedded prostate tissue using anti-DCXR mouse monoclonal antibody. (Dilution 1:50).
- Submitted by
- LSBio (provider)
- Enhanced method
- Genetic validation
- Main image

- Experimental details
- IHC of paraffin-embedded Adenocarcinoma of breast tissue using anti-DCXR mouse monoclonal antibody. (Dilution 1:50).
- Submitted by
- LSBio (provider)
- Main image

- Experimental details
- IHC of paraffin-embedded Adenocarcinoma of breast tissue using anti-DCXR mouse monoclonal antibody. (Dilution 1:50).
- Submitted by
- LSBio (provider)
- Main image

- Experimental details
- IHC of paraffin-embedded liver tissue using anti-DCXR mouse monoclonal antibody. (Dilution 1:50).
- Submitted by
- LSBio (provider)
- Main image

- Experimental details
- IHC of paraffin-embedded prostate tissue using anti-DCXR mouse monoclonal antibody. (Dilution 1:50).