UM870104
antibody from Invitrogen Antibodies
Targeting: LGR5
FEX, GPR49, GPR67, HG38
Antibody data
- Antibody Data
- Antigen structure
- References [0]
- Comments [0]
- Validations
- Western blot [4]
- Immunocytochemistry [4]
- Immunohistochemistry [4]
- Flow cytometry [2]
- Other assay [1]
Submit
Validation data
Reference
Comment
Report error
- Product number
- UM870104 - Provider product page

- Provider
- Invitrogen Antibodies
- Product name
- LGR5 Monoclonal Antibody (UMAB212), UltraMAB™
- Antibody type
- Monoclonal
- Antigen
- Recombinant protein fragment
- Reactivity
- Human
- Host
- Mouse
- Isotype
- IgG
- Antibody clone number
- UMAB212
- Vial size
- 30 µL
- Concentration
- 0.5-1 mg/mL
- Storage
- -20° C, Avoid Freeze/Thaw Cycles
No comments: Submit comment
Supportive validation
- Submitted by
- Invitrogen Antibodies (provider)
- Main image

- Experimental details
- Western blot analysis of extracts (15 µg) from 2 Human tissue by using anti-LGR5 monoclonal antibody (left lane: Brain right lane: Testis). (1:2000)
- Submitted by
- Invitrogen Antibodies (provider)
- Main image

- Experimental details
- NIH-3T3 (Left lane) or stable expressed LGR5-3T3 (RC212825, Right lane) cell lysates (5 µg per lane) were separated by SDS-PAGE and immunoblotted with anti-LGR5. (1:1000)
- Submitted by
- Invitrogen Antibodies (provider)
- Main image

- Experimental details
- Western blot analysis of extracts (10 µg) from 7 different transiently transfected HEK293T cell lysates by using anti-LGR5 monoclonal antibody (1:2000). (Lanes: control vector pCMV6-Entry (PS100001); human LGR4 (RC221345), LGR5 (RC212825) and LGR6 (RC219284); or mouse LGR4(MR219497),LGR5 (MR219702) and LGR6(MR224646)).
- Submitted by
- Invitrogen Antibodies (provider)
- Main image

- Experimental details
- Western blot analysis of extracts (15 µg) from 2 Human tissue by using anti-LGR5 monoclonal antibody (left lane: Brain right lane: Testis). (1:2000)
Supportive validation
- Submitted by
- Invitrogen Antibodies (provider)
- Main image

- Experimental details
- Anti-LGR5 mouse monoclonal antibody (UM800104)immunofluorescent staining of MCF7 cells transiently transfected by pCMV6-ENTRY human LGR5(RC212825). (1:100)
- Submitted by
- Invitrogen Antibodies (provider)
- Main image

- Experimental details
- Anti-LGR5 mouse monoclonal antibody (UM800104)immunofluorescent staining of MCF7 cells transiently transfected by pCMV6-ENTRY mouse LGR5(MR219702). (1:100)
- Submitted by
- Invitrogen Antibodies (provider)
- Main image

- Experimental details
- Anti-LGR5 mouse monoclonal antibody (UM800104)immunofluorescent staining of MCF7 cells transiently transfected by pCMV6-ENTRY human LGR5(RC212825). (1:100)
- Submitted by
- Invitrogen Antibodies (provider)
- Main image

- Experimental details
- Anti-LGR5 mouse monoclonal antibody (UM800104)immunofluorescent staining of MCF7 cells transiently transfected by pCMV6-ENTRY mouse LGR5(MR219702). (1:100)
Supportive validation
- Submitted by
- Invitrogen Antibodies (provider)
- Main image

- Experimental details
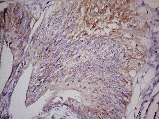
- Immunohistochemical staining of paraffin-embedded human small intestine using anti-LGR5 clone UMAB212 mouse monoclonal antibody used at 1 µg/mL dilution and detection with Polink2 Broad HRP DAB. UM800104 requires heat-induced epitope retrieval with TEE pH 9.0 at 95-100C 20 minutes. The image shows two arrows pointing to strong and weak staining of small intestine stem cells.
- Submitted by
- Invitrogen Antibodies (provider)
- Main image

- Experimental details
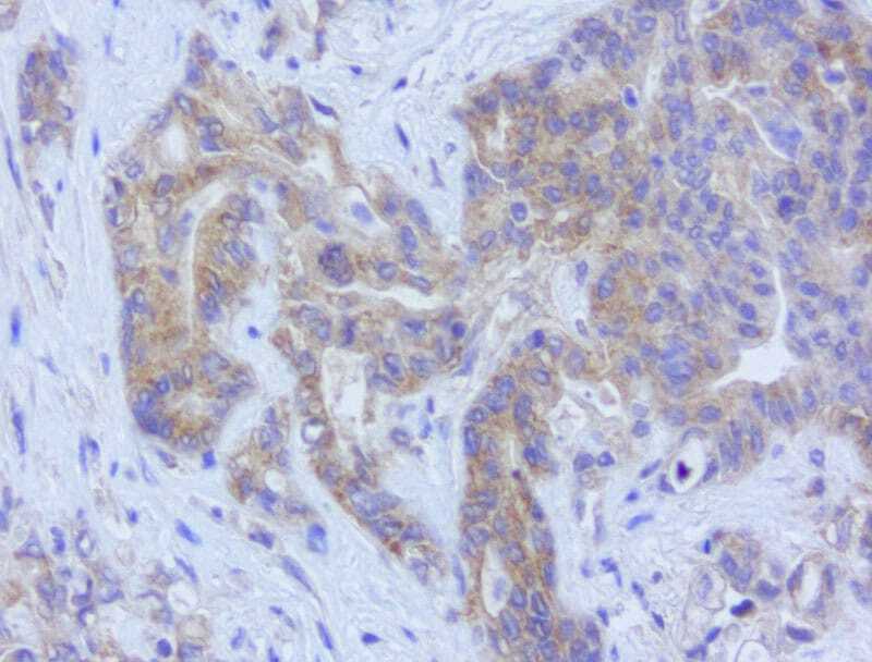
- Immunohistochemical staining of paraffin-embedded human colon cancer using mouse anti-LGR5 clone UMAB212 (UM800104) at 1:400 with GBI Polink2 Broad HRP DAB detection kit (D22-110); pretreatment of tissue prior to stain with heat-induced epitope retrieval buffer from GBI Labs TEE pH 9.0 (B21-100)using pressure chamber for 3 minutes at 110°C is required for optimal staining. Shown here strong cytoplamic tumor cells.
- Submitted by
- Invitrogen Antibodies (provider)
- Main image

- Experimental details
- Immunohistochemical staining of paraffin-embedded human gastric cancer using mouse anti-LGR5 clone UMAB212 (UM800104) at 1:400 with GBI Polink2 Broad HRP DAB detection kit (D22-110); pretreatment of tissue prior to stain with heat-induced epitope retrieval buffer from GBI Labs TEE pH 9.0 (B21-100) using pressure chamber for 3 minutes at 110°C is required for optimal staining. Shown here strong cytoplamic tumor cells.
- Submitted by
- Invitrogen Antibodies (provider)
- Main image

- Experimental details
- Immunohistochemical staining of paraffin-embedded Adenocarcinoma of Human colon tissue using anti-LGR5 mouse monoclonal antibody. (Heat-induced epitope retrieval by 1mM EDTA in 10mM Tris buffer (pH8.5) at 110°C for 10 min, UM800104)(1:150)
Supportive validation
- Submitted by
- Invitrogen Antibodies (provider)
- Main image

- Experimental details
- Flow cytometric analysis of stable expression LGR5(RC212825) HEK293T cells (Red) compared to negative control HEK293T cells (Blue) using anti-LGR5 antibody (UM800104, 1:100) surface stained on live cells.
- Submitted by
- Invitrogen Antibodies (provider)
- Main image

- Experimental details
- Flow cytometric analysis of HEK293T cells transiently transfected with human LGR4 (RC221345) or mouse LGR4 (MR219497), human LGR5 (RC212825) or mouse LGR5 (MR219702), human LGR6 (RC219284) or mouse LGR6 (MR224646), or control vector pCMV6-Entry (PS100001), using anti-LGR5 antibody (UM800104, 1:100) surface stained on live cells.
Supportive validation
- Submitted by
- Invitrogen Antibodies (provider)
- Main image

- Experimental details
- OriGene overexpression protein microarray chip was immunostained with UltraMAB anti-LGR5 mouse monoclonal antibody (UM800104) at 1:100. The positive reactive proteins are highlighted with two red arrows in the enlarged subarray. All the positive controls spotted in this subarray are also labeled for clarification.