RQ5975
antibody from NSJ Bioreagents
Targeting: FABP6
I-15P, I-BABP, I-BALB, I-BAP, ILBP, ILBP3, ILLBP
Antibody data
- Antibody Data
- Antigen structure
- References [0]
- Comments [0]
- Validations
- Western blot [1]
- Immunohistochemistry [5]
- Flow cytometry [1]
Submit
Validation data
Reference
Comment
Report error
- Product number
- RQ5975 - Provider product page

- Provider
- NSJ Bioreagents
- Product name
- Gastrotropin Antibody / FABP6
- Antibody type
- Polyclonal
- Description
- This highly specific Gastrotropin antibody is suitable for use in Western blot/Immunohistochemistry/Flow cytometry/Direct ELISA applications with human, mouse and rat samples.
- Reactivity
- Human, Mouse, Rat
- Host
- Rabbit
- Conjugate
- Unconjugated
- Vial size
- 100 ug
- Concentration
- 0.5mg/ml if reconstituted with 0.2ml sterile DI water
- Storage
- After reconstitution, the Gastrotropin antibody can be stored for up to one month at 4oC. For long-term, aliquot and store at -20oC. Avoid repeated freezing and thawing.
No comments: Submit comment
Supportive validation
- Submitted by
- NSJ Bioreagents (provider)
- Main image

- Experimental details
- Western blot testing of different lots of rat intestine (1-2) and mouse intestine (3-4) lysate with Gastrotropin antibody. Predicted molecular weight: ~14 kDa (isoform 1).
Supportive validation
- Submitted by
- NSJ Bioreagents (provider)
- Main image

- Experimental details
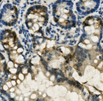
- IHC staining of FFPE human rectal cancer with Gastrotropin antibody. HIER: boil tissue sections in pH8 EDTA for 20 min and allow to cool before testing.
- Submitted by
- NSJ Bioreagents (provider)
- Main image

- Experimental details
- IHC staining of FFPE human rectal cancer with Gastrotropin antibody. HIER: boil tissue sections in pH8 EDTA for 20 min and allow to cool before testing.
- Submitted by
- NSJ Bioreagents (provider)
- Main image

- Experimental details
- IHC staining of FFPE human rectal cancer with Gastrotropin antibody. HIER: boil tissue sections in pH8 EDTA for 20 min and allow to cool before testing.
- Submitted by
- NSJ Bioreagents (provider)
- Main image

- Experimental details
- IHC staining of FFPE rat intestine with Gastrotropin antibody. HIER: boil tissue sections in pH8 EDTA for 20 min and allow to cool before testing.
- Submitted by
- NSJ Bioreagents (provider)
- Main image

- Experimental details
- IHC staining of FFPE rat intestine with Gastrotropin antibody. HIER: boil tissue sections in pH8 EDTA for 20 min and allow to cool before testing.
Supportive validation
- Submitted by
- NSJ Bioreagents (provider)
- Main image

- Experimental details
- Flow cytometry testing of human 293T cells with Gastrotropin antibody at 1ug/million cells (blocked with goat sera); Red=cells alone, Green=isotype control, Blue= Gastrotropin antibody.