H00008837-M01
antibody from Abnova Corporation
Targeting: CFLAR
c-FLIP, CASH, CASP8AP1, Casper, cFLIP, CLARP, FLAME, FLIP, I-FLICE, MRIT
Antibody data
- Antibody Data
- Antigen structure
- References [0]
- Comments [0]
- Validations
- Western blot [3]
- ELISA [1]
- Immunocytochemistry [1]
- Immunohistochemistry [1]
Submit
Validation data
Reference
Comment
Report error
- Product number
- H00008837-M01 - Provider product page

- Provider
- Abnova Corporation
- Proper citation
- Abnova Corporation Cat#H00008837-M01, RRID:AB_437083
- Product name
- CFLAR monoclonal antibody (M01), clone 2F12
- Antibody type
- Monoclonal
- Description
- Mouse monoclonal antibody raised against a partial recombinant CFLAR.
- Antigen sequence
AGTSYRNVLQAAIQKSLKDPSNNFRLHNGRSKEQR
LKEQLGAQQEPVKKSIQESEAFLPQSIPEERYKMK
SKPLGICLIIDCIGNETELLRDTFTSLGYE- Isotype
- IgG
- Antibody clone number
- 2F12
- Storage
- Store at -20°C or lower. Aliquot to avoid repeated freezing and thawing.
No comments: Submit comment
Supportive validation
- Submitted by
- Abnova Corporation (provider)
- Main image

- Experimental details
- CFLAR monoclonal antibody (M01), clone 2F12 Western Blot analysis of CFLAR expression in IMR-32 ( Cat # L008V1 ).
- Submitted by
- Abnova Corporation (provider)
- Main image

- Experimental details
- Western Blot analysis of CFLAR expression in transfected 293T cell line by CFLAR monoclonal antibody (M01), clone 2F12.Lane 1: CFLAR transfected lysate (Predicted MW: 55.3 KDa).Lane 2: Non-transfected lysate.
- Submitted by
- Abnova Corporation (provider)
- Main image

- Experimental details
- CFLAR monoclonal antibody (M01), clone 2F12. Western Blot analysis of CFLAR expression in K-562.
Supportive validation
- Submitted by
- Abnova Corporation (provider)
- Main image

- Experimental details
- Detection limit for recombinant GST tagged CFLAR is approximately 0.3ng/ml as a capture antibody.
- Validation comment
- Sandwich ELISA (Recombinant protein)
- Protocol
- Protocol
Supportive validation
- Submitted by
- Abnova Corporation (provider)
- Main image

- Experimental details
- Immunofluorescence of monoclonal antibody to CFLAR on HeLa cell. [antibody concentration 10 ug/ml]
- Validation comment
- Immunofluorescence
- Protocol
- Protocol
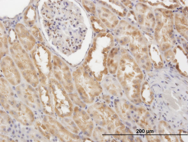
Supportive validation
- Submitted by
- Abnova Corporation (provider)
- Main image

- Experimental details
- Immunoperoxidase of monoclonal antibody to CFLAR on formalin-fixed paraffin-embedded human kidney. [antibody concentration 3 ug/ml]
- Validation comment
- Immunohistochemistry (Formalin/PFA-fixed paraffin-embedded sections)
- Protocol
- Protocol