ABIN4312109
antibody from antibodies-online
Targeting: CFLAR
c-FLIP, CASH, CASP8AP1, Casper, cFLIP, CLARP, FLAME, FLIP, I-FLICE, MRIT
Antibody data
- Antibody Data
- Antigen structure
- References [0]
- Comments [0]
- Validations
- Western blot [2]
- ELISA [1]
- Immunohistochemistry [2]
- Flow cytometry [1]
Submit
Validation data
Reference
Comment
Report error
- Product number
- ABIN4312109 - Provider product page

- Provider
- antibodies-online
- Product name
- anti-CASP8 and FADD-Like Apoptosis Regulator (CFLAR) antibody
- Antibody type
- Monoclonal
- Description
- Protein A or G purified
- Reactivity
- Human, Mouse
- Host
- Mouse
- Isotype
- IgG
- Antibody clone number
- 7A3D12
- Vial size
- 0.1 mL
- Storage
- Store at 4°C short term. Aliquot and store at -20°C long term. Avoid freeze-thaw cycles.
No comments: Submit comment
Supportive validation
- Submitted by
- antibodies-online (provider)
- Main image

- Experimental details
- WB
- Submitted by
- antibodies-online (provider)
- Main image

- Experimental details
- WB
Supportive validation
- Submitted by
- antibodies-online (provider)
- Main image

- Experimental details
- ELISA
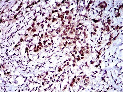
Supportive validation
- Submitted by
- antibodies-online (provider)
- Main image

- Experimental details
- IHC
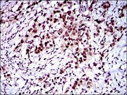
- Submitted by
- antibodies-online (provider)
- Main image

- Experimental details
- IHC
Supportive validation
- Submitted by
- antibodies-online (provider)
- Main image

- Experimental details
- FACS