Antibody data
- Antibody Data
- Antigen structure
- References [0]
- Comments [0]
- Validations
- Western blot [3]
- Immunohistochemistry [5]
Submit
Validation data
Reference
Comment
Report error
- Product number
- NBP1-81680 - Provider product page

- Provider
- Novus Biologicals
- Proper citation
- Novus Cat#NBP1-81680, RRID:AB_11040641
- Product name
- Rabbit Polyclonal NOP58 Antibody
- Antibody type
- Polyclonal
- Description
- Immunogen affinity purified. Specificity of human, mouse, rat NOP58 antibody verified on a Protein Array containing target protein plus 383 other non-specific proteins.
- Reactivity
- Human, Mouse, Rat
- Host
- Rabbit
- Isotype
- IgG
- Vial size
- 0.1 ml
- Storage
- Store at 4C short term. Aliquot and store at -20C long term. Avoid freeze-thaw cycles.
No comments: Submit comment
Supportive validation
- Submitted by
- Novus Biologicals (provider)
- Main image

- Experimental details
- Western Blot: NOP58 Antibody [NBP1-81680] - Lane 1: Marker [kDa] 230, 130, 95, 72, 56, 36, 28, 17, 11. Lane 2: Human cell line RT-4. Lane 3: Human cell line U-251MG sp
- Submitted by
- Novus Biologicals (provider)
- Main image

- Experimental details
- Western Blot: NOP58 Antibody [NBP1-81680] - Analysis in mouse cell line NIH-3T3 and rat cell line NBT-II.
- Submitted by
- Novus Biologicals (provider)
- Main image

- Experimental details
- Western Blot: NOP58 Antibody [NBP1-81680] - Analysis using Anti-NOP58 antibody NBP1-81680 (A) shows similar pattern to independent antibody NBP1-81681 (B).
Supportive validation
- Submitted by
- Novus Biologicals (provider)
- Main image

- Experimental details
- Immunohistochemistry-Paraffin: NOP58 Antibody [NBP1-81680] - Staining of human stomach shows nuclear and cytoplasmic positivity in glandular cells.
- Submitted by
- Novus Biologicals (provider)
- Main image

- Experimental details
- Immunohistochemistry-Paraffin: NOP58 Antibody [NBP1-81680] - Staining of human cerebral cortex shows strong nucleolar and weaker nuclear positivity in neurons.
- Submitted by
- Novus Biologicals (provider)
- Main image

- Experimental details
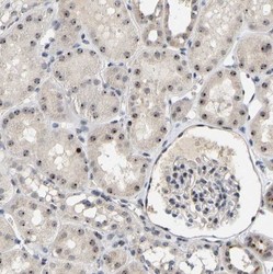
- Immunohistochemistry-Paraffin: NOP58 Antibody [NBP1-81680] - Staining of human kidney shows strong nucleolar positivity in cells in tubules.
- Submitted by
- Novus Biologicals (provider)
- Main image

- Experimental details
- Immunohistochemistry-Paraffin: NOP58 Antibody [NBP1-81680] - Staining of human lymph node shows strong nucleolar and moderate nuclear positivity in non-germinal center cells.
- Submitted by
- Novus Biologicals (provider)
- Main image

- Experimental details
- Immunohistochemistry-Paraffin: NOP58 Antibody [NBP1-81680] - Staining of human stomach shows strong nucleolar and moderate nuclear positivity in glandular cells.