Antibody data
- Antibody Data
- Antigen structure
- References [0]
- Comments [0]
- Validations
- Western blot [1]
- Immunoprecipitation [1]
- Other assay [3]
Submit
Validation data
Reference
Comment
Report error
- Product number
- PA5-112219 - Provider product page

- Provider
- Invitrogen Antibodies
- Product name
- WDR12 Polyclonal Antibody
- Antibody type
- Polyclonal
- Antigen
- Other
- Reactivity
- Human
- Host
- Rabbit
- Isotype
- IgG
- Vial size
- 100 μL
- Concentration
- 1 mg/mL
- Storage
- Store at 4°C short term. For long term storage, store at -20°C, avoiding freeze/thaw cycles.
No comments: Submit comment
Supportive validation
- Submitted by
- Invitrogen Antibodies (provider)
- Main image

- Experimental details
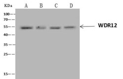
- Western Blot using WDR12 Polyclonal Antibody (Product # PA5-112219) at 1:500 dilution. Lane A: A431 Whole Cell Lysate, Lane B: HeLa Whole Cell Lysate, Lane C: 293T Whole Cell Lysate. Lysates/proteins at 30 μg per lane. Secondary antibody: Goat Anti-Rabbit IgG (H+L)/HRP at 1:10,000 dilution. Developed using the ECL technique. Performed under reducing conditions. Predicted band size: 48 kDa. Observed band size: 48 kDa.
Supportive validation
- Submitted by
- Invitrogen Antibodies (provider)
- Main image

- Experimental details
- WDR12 Immunoprecipitation using: Lane A: 0.5 mg A431 Whole Cell Lysate, Lane B: 0.5 mg HeLa Whole Cell Lysate, Lane C: 0.5 mg 293T Whole Cell Lysate, Lane D: 0.5 mg NIH3T3 Whole Cell Lysate 4 µL with WDR12 Polyclonal Antibody (Product # PA5-112219) and 60 μg of Immunomagnetic beads Protein A/G. Primary antibody: WDR12 Polyclonal Antibody, at 1:100 dilution. Secondary antibody: Clean-Blot IP Detection Reagent (HRP) at 1:1,000dilution. Developed using the ECL technique. Performed under reducing conditions. Predicted band size: 48 kDa. Observed band size: 48 kDa.
Supportive validation
- Submitted by
- Invitrogen Antibodies (provider)
- Main image

- Experimental details
- WDR12 Immunoprecipitation using: Lane A: 0.5 mg A431 Whole Cell Lysate, Lane B: 0.5 mg HeLa Whole Cell Lysate, Lane C: 0.5 mg 293T Whole Cell Lysate, Lane D: 0.5 mg NIH3T3 Whole Cell Lysate 4 µL with WDR12 Polyclonal Antibody (Product # PA5-112219) and 60 μg of Immunomagnetic beads Protein A/G. Primary antibody: WDR12 Polyclonal Antibody, at 1:100 dilution. Secondary antibody: Clean-Blot IP Detection Reagent (HRP) at 1:1,000dilution. Developed using the ECL technique. Performed under reducing conditions. Predicted band size: 48 kDa. Observed band size: 48 kDa.
- Submitted by
- Invitrogen Antibodies (provider)
- Main image

- Experimental details
- Immunoprecipitation of WDR12 was performed on (Lane A) 0.5 mg 293T whole cell lysate using 4 µL of WDR12 Polyclonal Antibody (Product # PA5-112219) at a dilution of 1:100, and 60 µg of Immunomagnetic beads Protein A/G. A Clean-Blot IP Detection Reagent (HRP) was used as a secondary antibody at a dilution of 1:1,000. Developed using the ECL technique and performed under reducing conditions. Predicted band size: 48 kDa. Observed band size: 48 kDa.
- Submitted by
- Invitrogen Antibodies (provider)
- Main image

- Experimental details
- WDR12 Immunoprecipitation using: Lane A: 0.5 mg A431 Whole Cell Lysate, Lane B: 0.5 mg HeLa Whole Cell Lysate, Lane C: 0.5 mg 293T Whole Cell Lysate, Lane D: 0.5 mg NIH3T3 Whole Cell Lysate 4 µL with WDR12 Polyclonal Antibody (Product # PA5-112219) and 60 μg of Immunomagnetic beads Protein A/G. Primary antibody: WDR12 Polyclonal Antibody, at 1:100 dilution. Secondary antibody: Clean-Blot IP Detection Reagent (HRP) at 1:1,000dilution. Developed using the ECL technique. Performed under reducing conditions. Predicted band size: 48 kDa. Observed band size: 48 kDa.