Antibody data
- Antibody Data
- Antigen structure
- References [0]
- Comments [0]
- Validations
- Western blot [1]
- Immunohistochemistry [3]
Submit
Validation data
Reference
Comment
Report error
- Product number
- ARP51995_P050 - Provider product page

- Provider
- Aviva Systems Biology
- Proper citation
- Aviva Systems Biology Cat#ARP51995_P050, RRID:AB_2045552
- Product name
- DBT antibody - N-terminal region (ARP51995_P050)
- Antibody type
- Polyclonal
- Antigen
- The immunogen is a synthetic peptide directed towards the N terminal region of human DBT
- Description
- Affinity Purified
- Reactivity
- Human, Mouse, Rat, Bovine, Canine, Guinea Pig, Horse, Rabbit, Yeast, Zebrafish
- Host
- Rabbit
- Vial size
- 100 μl
- Concentration
- Liquid. Purified antibody supplied in 1x PBS buffer with 0.09% (w/v) sodium azide and 2% sucrose.
- Storage
- For short term use, store at 2-8C up to 1 week. For long term storage, store at -20C in small aliquots to prevent freeze-thaw cycles.
No comments: Submit comment
Supportive validation
- Submitted by
- Aviva Systems Biology (provider)
- Main image

- Experimental details
- Western blot analysis using Anti-DBT antibody detects protein at predicted molecular weight using Ht1080 Cells as a positive control. Tissue/Lysate Concentration: 1ug/ml Antibody Concentration: 1.0ug/ml
- Sample type
- Ht1080 Cells
- Validation comment
- Western blot analysis detects protein at predicted molecular weight
- Primary Ab dilution
- 1.0ug/ml
- Other comments
- Lysate concentration 1ug/ml
Supportive validation
- Submitted by
- Aviva Systems Biology (provider)
- Main image

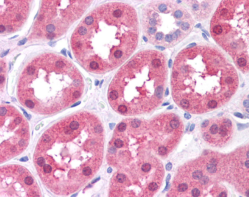
- Experimental details
- Immunohistochemistry staining of Paraffin Embedded Kidney Tissue using Anti-DBT antibody at a concentration of 4-8µg/ml
- Sample type
- Kidney Tissue
- Validation comment
- The subcellular location is supported by literature.
- Primary Ab dilution
- 4-8µg/ml
- Submitted by
- Aviva Systems Biology (provider)
- Main image

- Experimental details
- Immunohistochemistry staining of Paraffin Embedded Spleen Tissue using Anti-DBT antibody at a concentration of 4-8µg/ml
- Sample type
- Spleen Tissue
- Validation comment
- The subcellular location is supported by literature.
- Primary Ab dilution
- 4-8µg/ml
- Submitted by
- Aviva Systems Biology (provider)
- Main image

- Experimental details
- Immunohistochemistry staining of Paraffin Embedded Skin Tissue using Anti-DBT antibody at a concentration of 4-8µg/ml
- Sample type
- Skin Tissue
- Validation comment
- The subcellular location is supported by literature.
- Primary Ab dilution
- 4-8µg/ml