Antibody data
- Antibody Data
- Antigen structure
- References [0]
- Comments [0]
- Validations
- Immunohistochemistry [1]
Submit
Validation data
Reference
Comment
Report error
- Product number
- PB9826 - Provider product page

- Provider
- Boster Biological Technology
- Product name
- Anti-TCP1 alpha Antibody Picoband™
- Antibody type
- Polyclonal
- Description
- Polyclonal antibody for TCP 1 ALPHA/TCP1 detection. Host: Rabbit.Size: 100μg/vial. Tested applications: WB, IHC-P, ICC/IF. Reactive species: Human;Mouse;Rat. TCP 1 ALPHA/TCP1 information: Molecular Weight: 60344 MW; Subcellular Localization: Cytoplasm. Cytoplasm, cytoskeleton, microtubule organizing center, centrosome.
- Reactivity
- Human, Mouse, Rat
- Host
- Rabbit
- Vial size
- 100μg/vial
- Concentration
- Add 0.2ml of distilled water will yield a concentration of 500ug/ml.
- Storage
- At -20°C for one year. After reconstitution, at 4°C for one month. It can also be aliquoted and stored frozen at -20°C for a longer time. Avoid repeated freezing and thawing.
- Handling
- Add 0.2ml of distilled water will yield a concentration of 500ug/ml.
No comments: Submit comment
Supportive validation
- Submitted by
- Boster Biological Technology (provider)
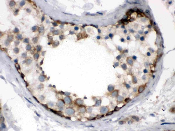
- Main image

- Experimental details
- Anti- TCP1 Picoband antibody, PB9826, IHC(P)IHC(P): Human Testis Tissue
- Additional image
