Antibody data
- Antibody Data
- Antigen structure
- References [0]
- Comments [0]
- Validations
- Western blot [1]
- Immunohistochemistry [4]
Submit
Validation data
Reference
Comment
Report error
- Product number
- LS-C357581 - Provider product page

- Provider
- LSBio
- Product name
- SLC22A2 Antibody (aa524-555) LS-C357581
- Antibody type
- Polyclonal
- Description
- Immunogen affinity purified
- Reactivity
- Human, Mouse, Rat
- Host
- Rabbit
- Storage
- At -20°C for 1 year. After reconstitution, at 4°C for 1 month. It can also be aliquotted and stored frozen at -20°C for a longer time. Avoid freeze-thaw cycles.
No comments: Submit comment
Enhanced validation
- Submitted by
- LSBio (provider)
- Enhanced method
- Genetic validation
- Main image

- Experimental details
- SLC22A2 antibody Western blot. All lanes: Anti SLC22A2 at 0.5 ug/ml. Lane 1: Rat Brain Tissue Lysate at 50 ug. Lane 2: Mouse Brain Tissue Lysate at 50 ug. Predicted band size: 63 kD. Observed band size: 63 kD.
Supportive validation
- Submitted by
- LSBio (provider)
- Enhanced method
- Genetic validation
- Main image

- Experimental details
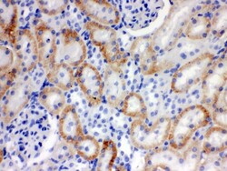
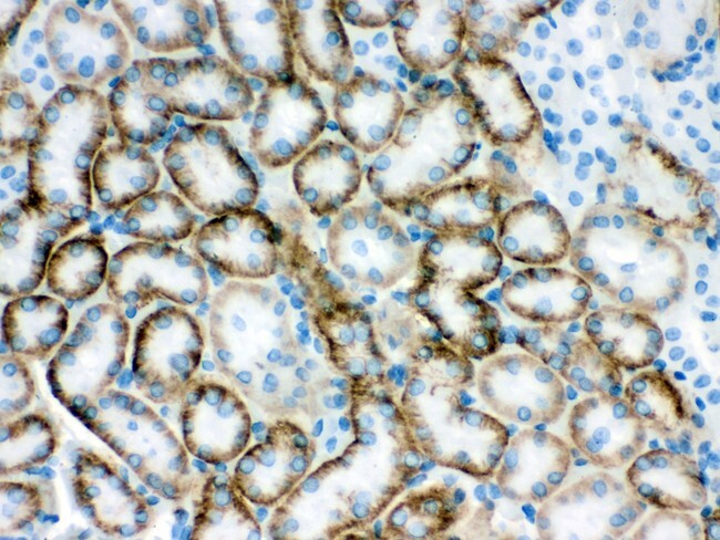
- SLC22A2 antibody IHC-paraffin: Mouse Kidney Tissue.
- Submitted by
- LSBio (provider)
- Enhanced method
- Genetic validation
- Main image

- Experimental details
- SLC22A2 antibody IHC-paraffin: Rat Kidney Tissue.
- Submitted by
- LSBio (provider)
- Enhanced method
- Genetic validation
- Main image

- Experimental details
- SLC22A2 antibody IHC-paraffin: Mouse Kidney Tissue.
- Submitted by
- LSBio (provider)
- Enhanced method
- Genetic validation
- Main image

- Experimental details
- SLC22A2 antibody IHC-paraffin: Rat Kidney Tissue.