Antibody data
- Antibody Data
- Antigen structure
- References [2]
- Comments [0]
- Validations
- Immunohistochemistry [7]
Submit
Validation data
Reference
Comment
Report error
- Product number
- NBP1-89417 - Provider product page

- Provider
- Novus Biologicals
- Proper citation
- Novus Cat#NBP1-89417, RRID:AB_11031515
- Product name
- Rabbit Polyclonal SLC22A2/OCT2 Antibody
- Antibody type
- Polyclonal
- Description
- Immunogen affinity purified. Specificity of human SLC22A2/OCT2 antibody verified on a Protein Array containing target protein plus 383 other non-specific proteins.
- Reactivity
- Human, Rat
- Host
- Rabbit
- Isotype
- IgG
- Vial size
- 0.1 ml
- Storage
- Store at 4C short term. Aliquot and store at -20C long term. Avoid freeze-thaw cycles.
Submitted references Reversing the reduced level of endometrial GLUT4 expression in polycystic ovary syndrome: a mechanistic study of metformin action.
Direct effects of metformin in the endometrium: a hypothetical mechanism for the treatment of women with PCOS and endometrial carcinoma.
Li X, Cui P, Jiang HY, Guo YR, Pishdari B, Hu M, Feng Y, Billig H, Shao R
American journal of translational research 2015;7(3):574-86
American journal of translational research 2015;7(3):574-86
Direct effects of metformin in the endometrium: a hypothetical mechanism for the treatment of women with PCOS and endometrial carcinoma.
Shao R, Li X, Feng Y, Lin JF, Billig H
Journal of experimental & clinical cancer research : CR 2014 May 11;33:41
Journal of experimental & clinical cancer research : CR 2014 May 11;33:41
No comments: Submit comment
Supportive validation
- Submitted by
- Novus Biologicals (provider)
- Main image

- Experimental details
- Immunohistochemistry-Paraffin: SLC22A2/OCT2 Antibody [NBP1-89417] - Staining of human liver shows no positivity in hepatocytes.
- Submitted by
- Novus Biologicals (provider)
- Main image

- Experimental details
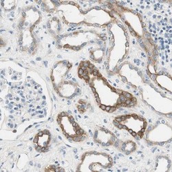
- Immunohistochemistry-Paraffin: SLC22A2/OCT2 Antibody [NBP1-89417] - Staining of human kidney shows moderate cytoplasmic positivity in cells in tubules.
- Submitted by
- Novus Biologicals (provider)
- Main image

- Experimental details
- Immunohistochemistry-Paraffin: SLC22A2/OCT2 Antibody [NBP1-89417] - Analysis in human kidney and liver tissues. Corresponding SLC22A2 RNA-seq data are presented for the same tissues.
- Submitted by
- Novus Biologicals (provider)
- Main image

- Experimental details
- Immunohistochemistry-Paraffin: SLC22A2/OCT2 Antibody [NBP1-89417] - Staining of human testis shows no positivity in cells in seminiferous ducts as expected.
- Submitted by
- Novus Biologicals (provider)
- Main image

- Experimental details
- Immunohistochemistry-Paraffin: SLC22A2/OCT2 Antibody [NBP1-89417] - Staining of human liver shows no positivity in hepatocytes as expected.
- Submitted by
- Novus Biologicals (provider)
- Main image

- Experimental details
- Immunohistochemistry-Paraffin: SLC22A2/OCT2 Antibody [NBP1-89417] - Staining of human kidney shows moderate to strong cytoplasmic/membranous positivity in cells in tubules.
- Submitted by
- Novus Biologicals (provider)
- Main image

- Experimental details
- Immunohistochemistry-Paraffin: SLC22A2/OCT2 Antibody [NBP1-89417] - Staining of human endometrium shows no positivity in glandular cells as expected.