Antibody data
- Antibody Data
- Antigen structure
- References [0]
- Comments [0]
- Validations
- Western blot [3]
- Immunocytochemistry [1]
- Immunohistochemistry [2]
Submit
Validation data
Reference
Comment
Report error
- Product number
- GTX103845 - Provider product page

- Provider
- GeneTex
- Proper citation
- GeneTex Cat#GTX103845, RRID:AB_1951507
- Product name
- PSMA5 antibody
- Antibody type
- Polyclonal
- Reactivity
- Human, Mouse
- Host
- Rabbit
No comments: Submit comment
Supportive validation
- Submitted by
- GeneTex (provider)
- Main image

- Experimental details
- Sample (50 ug of whole cell lysate) A: mouse brain 12% SDS PAGE GTX103845 diluted at 1:5000
- Submitted by
- GeneTex (provider)
- Main image

- Experimental details
- Sample(30 ug whole cell lysate)A: HeLa S3(GTX14654)B: Hep G2 (GTX27900) 12% SDS PAGEGTX103845 diluted at 1:500
- Validation comment
- WB
- Submitted by
- GeneTex (provider)
- Main image

- Experimental details
- PSMA5 antibody detects PSMA5 protein by western blot analysis. Various whole cell extracts (30 £gg) were separated by 12% SDS-PAGE, and the membrane was blotted with PSMA5 antibody (GTX103845) diluted by 1:1000.
Supportive validation
- Submitted by
- GeneTex (provider)
- Main image

- Experimental details
- Immunofluorescence analysis of paraformaldehyde-fixed HeLa, using Proteasome 20S alpha5(GTX103845) antibody at 1:200 dilution.
Supportive validation
- Submitted by
- GeneTex (provider)
- Main image

- Experimental details
- Immunohistochemical analysis of paraffin-embedded H1299 xenograft, using Proteasome 20S alpha 5(GTX103845) antibody at 1:100 dilution.
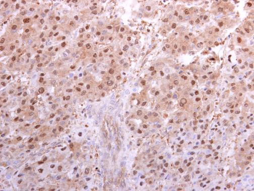
- Submitted by
- GeneTex (provider)
- Main image

- Experimental details
- PSMA5 antibody detects PSMA5 protein at cytoplasm and nucleus in human hepatocellular carcinoma by immunohistochemical analysis. Sample: Paraffin-embedded human hepatocellular carcinoma. PSMA5 antibody (GTX103845) diluted at 1:500.