PA5-112598
antibody from Invitrogen Antibodies
Targeting: LPCAT2
AGPAT11, AYTL1, FLJ20481, LysoPAFAT
Antibody data
- Antibody Data
- Antigen structure
- References [0]
- Comments [0]
- Validations
- Immunohistochemistry [2]
Submit
Validation data
Reference
Comment
Report error
- Product number
- PA5-112598 - Provider product page

- Provider
- Invitrogen Antibodies
- Product name
- LPCAT2 Polyclonal Antibody
- Antibody type
- Polyclonal
- Antigen
- Recombinant full-length protein
- Reactivity
- Human
- Host
- Rabbit
- Isotype
- IgG
- Vial size
- 100 μg
- Concentration
- 1 mg/mL
- Storage
- -20°C or -80°C if preferred
No comments: Submit comment
Supportive validation
- Submitted by
- Invitrogen Antibodies (provider)
- Main image

- Experimental details
- Immunocytochemical analysis of paraffin-embeded LPCAT2 in human thyroid tissue using a LPCAT2 Polyclonal antibody (Product # PA5-112598) at a dilution of 1:200.
- Submitted by
- Invitrogen Antibodies (provider)
- Main image

- Experimental details
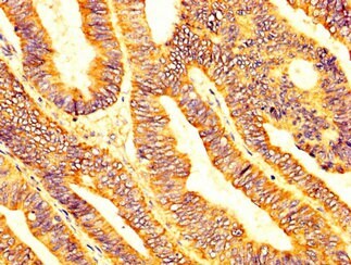
- Immunocytochemical analysis of paraffin-embeded LPCAT2 in human colon cancer using a LPCAT2 Polyclonal antibody (Product # PA5-112598) at a dilution of 1:200.