Antibody data
- Antibody Data
- Antigen structure
- References [1]
- Comments [0]
- Validations
- Western blot [2]
- Immunohistochemistry [10]
- Flow cytometry [2]
Submit
Validation data
Reference
Comment
Report error
- Product number
- NBP2-01716 - Provider product page

- Provider
- Novus Biologicals
- Product name
- Mouse Monoclonal APMAP Antibody
- Antibody type
- Monoclonal
- Description
- Affinity purified.
- Reactivity
- Human, Mouse, Rat, Canine, Simian
- Host
- Mouse
- Isotype
- IgG
- Vial size
- 0.1 ml
- Concentration
- 1 mg/ml
- Storage
- Store at -20C. Avoid freeze-thaw cycles.
Submitted references APMAP interacts with lysyl oxidase-like proteins, and disruption of Apmap leads to beneficial visceral adipose tissue expansion.
Pessentheiner AR, Huber K, Pelzmann HJ, Prokesch A, Radner FPW, Wolinski H, Lindroos-Christensen J, Hoefler G, Rülicke T, Birner-Gruenberger R, Bilban M, Bogner-Strauss JG
FASEB journal : official publication of the Federation of American Societies for Experimental Biology 2017 Sep;31(9):4088-4103
FASEB journal : official publication of the Federation of American Societies for Experimental Biology 2017 Sep;31(9):4088-4103
No comments: Submit comment
Supportive validation
- Submitted by
- Novus Biologicals (provider)
- Main image

- Experimental details
- Western Blot: APMAP Antibody (OTI4F6) [NBP2-01716] - HEK293T cells were transfected with the pCMV6-ENTRY control (Left lane) or pCMV6-ENTRY APMAP (Right lane) cDNA for 48 hrs and lysed. Equivalent amounts of cell lysates (5 ug per lane) were separated by SDS-PAGE and immunoblotted with anti-APMAP.
- Submitted by
- Novus Biologicals (provider)
- Main image

- Experimental details
- Western Blot: APMAP Antibody (OTI4F6) [NBP2-01716] - Analysis of extracts (35ug) from 9 different cell lines by using anti-APMAP monoclonal antibody.
Supportive validation
- Submitted by
- Novus Biologicals (provider)
- Main image

- Experimental details
- Immunohistochemistry-Paraffin: APMAP Antibody (OTI4F6) [NBP2-01716] - Staining of paraffin-embedded Adenocarcinoma of Human ovary tissue using anti-APMAP mouse monoclonal antibody.
- Submitted by
- Novus Biologicals (provider)
- Main image

- Experimental details
- Immunohistochemistry-Paraffin: APMAP Antibody (OTI4F6) [NBP2-01716] - Staining of paraffin-embedded Carcinoma of Human bladder tissue using anti-APMAP mouse monoclonal antibody.
- Submitted by
- Novus Biologicals (provider)
- Main image

- Experimental details
- Immunohistochemistry-Paraffin: APMAP Antibody (OTI4F6) [NBP2-01716] - Staining of paraffin-embedded Carcinoma of Human kidney tissue using anti-APMAP mouse monoclonal antibody.
- Submitted by
- Novus Biologicals (provider)
- Main image

- Experimental details
- Immunohistochemistry-Paraffin: APMAP Antibody (OTI4F6) [NBP2-01716] - Staining of paraffin-embedded Carcinoma of Human lung tissue using anti-APMAP mouse monoclonal antibody.
- Submitted by
- Novus Biologicals (provider)
- Main image

- Experimental details
- Immunohistochemistry-Paraffin: APMAP Antibody (OTI4F6) [NBP2-01716] - Staining of paraffin-embedded Human breast tissue using anti-APMAP mouse monoclonal antibody.
- Submitted by
- Novus Biologicals (provider)
- Main image

- Experimental details
- Immunohistochemistry-Paraffin: APMAP Antibody (OTI4F6) [NBP2-01716] - Staining of paraffin-embedded Human Kidney tissue using anti-APMAP mouse monoclonal antibody.
- Submitted by
- Novus Biologicals (provider)
- Main image

- Experimental details
- Immunohistochemistry-Paraffin: APMAP Antibody (OTI4F6) [NBP2-01716] - Staining of paraffin-embedded Human liver tissue using anti-APMAP mouse monoclonal antibody.
- Submitted by
- Novus Biologicals (provider)
- Main image

- Experimental details
- Immunohistochemistry-Paraffin: APMAP Antibody (OTI4F6) [NBP2-01716] - Staining of paraffin-embedded Human pancreas tissue using anti-APMAP mouse monoclonal antibody.
- Submitted by
- Novus Biologicals (provider)
- Main image

- Experimental details
- Immunohistochemistry-Paraffin: APMAP Antibody (OTI4F6) [NBP2-01716] - Staining of paraffin-embedded Human prostate tissue using anti-APMAP mouse monoclonal antibody.
- Submitted by
- Novus Biologicals (provider)
- Main image

- Experimental details
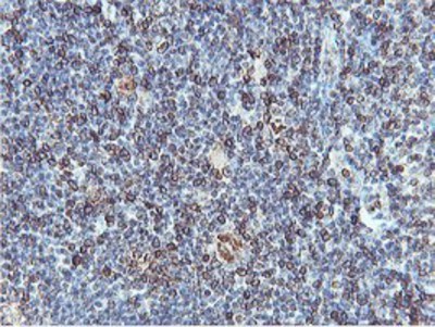
- Immunohistochemistry-Paraffin: APMAP Antibody (OTI4F6) [NBP2-01716] - Staining of paraffin-embedded Human tonsil using anti-APMAP mouse monoclonal antibody.
Supportive validation
- Submitted by
- Novus Biologicals (provider)
- Main image

- Experimental details
- Flow Cytometry: APMAP Antibody (OTI4F6) [NBP2-01716] - Analysis of Hela cells, using anti-APMAP antibody, (Red), compared to a nonspecific negative control antibody (Blue).
- Submitted by
- Novus Biologicals (provider)
- Main image

- Experimental details
- Flow Cytometry: APMAP Antibody (OTI4F6) [NBP2-01716] - Analysis of Jurkat cells, using anti-APMAP antibody, (Red), compared to a nonspecific negative control antibody (Blue).