Antibody data
- Antibody Data
- Antigen structure
- References [0]
- Comments [0]
- Validations
- Western blot [1]
- Immunohistochemistry [1]
Submit
Validation data
Reference
Comment
Report error
- Product number
- PAB28514 - Provider product page

- Provider
- Abnova Corporation
- Product name
- MOV10 polyclonal antibody
- Antibody type
- Polyclonal
- Description
- Rabbit polyclonal antibody raised against synthetic peptide of MOV10
- Storage
- Store at 4°C. For long term storage store at -20°C.Aliquot to avoid repeated freezing and thawing.
No comments: Submit comment
Supportive validation
- Submitted by
- Abnova Corporation (provider)
- Main image

- Experimental details
- Western blot analysis of MOV10 polyclonal antibody (Cat # PAB28514) in human normal Uterus tissue lysates (35ug/lane). MOV10 (arrow) was detected using the purified polyclonal antibody.
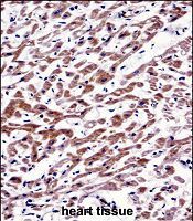
Supportive validation
- Submitted by
- Abnova Corporation (provider)
- Main image

- Experimental details
- Immunohistochemistry (Formalin/PFA-fixed paraffin-embedded sections) of human heart tissue with MOV10 polyclonal antibody (Cat # PAB28514) followed by peroxidase conjugation of the secondary antibody and DAB staining.
- Validation comment
- Immunohistochemistry (Formalin/PFA-fixed paraffin-embedded sections)