Antibody data
- Antibody Data
- Antigen structure
- References [5]
- Comments [0]
- Validations
- Western blot [1]
- Immunohistochemistry [2]
Submit
Validation data
Reference
Comment
Report error
- Product number
- 15469-1-AP - Provider product page

- Provider
- Proteintech Group
- Proper citation
- Proteintech Cat#15469-1-AP, RRID:AB_2230349
- Product name
- CYB5B antibody
- Antibody type
- Polyclonal
- Description
- CYB5B antibody (Cat. #15469-1-AP) is a rabbit polyclonal antibody that shows reactivity with human, mouse, rat and has been validated for the following applications: IF, IHC, IP, WB,ELISA.
- Reactivity
- Human, Mouse, Rat
- Host
- Rabbit
- Conjugate
- Unconjugated
- Isotype
- IgG
- Vial size
- 20ul, 150ul
Submitted references Divergent role of Mitochondrial Amidoxime Reducing Component 1 (MARC1) in human and mouse.
Mechanosensitive super-enhancers regulate genes linked to atherosclerosis in endothelial cells.
Competition for cysteine acylation by C16:0 and C18:0 derived lipids is a global phenomenon in the proteome.
Comprehensive Analysis of mTORC1 Signaling Pathway-Related Genes in the Prognosis of HNSCC and the Response to Chemotherapy and Immunotherapy.
Physical and Functional Analysis of the Putative Rpn13 Inhibitor RA190.
Smagris E, Shihanian LM, Mintah IJ, Bigdelou P, Livson Y, Brown H, Verweij N, Hunt C, Johnson RO, Greer TJ, Hartford SA, Hindy G, Sun L, Nielsen JB, Halasz G, Lotta LA, Murphy AJ, Sleeman MW, Gusarova V
PLoS genetics 2024 Mar;20(3):e1011179
PLoS genetics 2024 Mar;20(3):e1011179
Mechanosensitive super-enhancers regulate genes linked to atherosclerosis in endothelial cells.
Li J, Zhu J, Gray O, Sobreira DR, Wu D, Huang RT, Miao B, Sakabe NJ, Krause MD, Kaikkonen MU, Romanoski CE, Nobrega MA, Fang Y
The Journal of cell biology 2024 Mar 4;223(3)
The Journal of cell biology 2024 Mar 4;223(3)
Competition for cysteine acylation by C16:0 and C18:0 derived lipids is a global phenomenon in the proteome.
Nůsková H, Cortizo FG, Schwenker LS, Sachsenheimer T, Diakonov EE, Tiebe M, Schneider M, Lohbeck J, Reid C, Kopp-Schneider A, Helm D, Brügger B, Miller AK, Teleman AA
The Journal of biological chemistry 2023 Sep;299(9):105088
The Journal of biological chemistry 2023 Sep;299(9):105088
Comprehensive Analysis of mTORC1 Signaling Pathway-Related Genes in the Prognosis of HNSCC and the Response to Chemotherapy and Immunotherapy.
Ding Z, Shen H, Xu K, Wu Y, Wang S, Yi F, Wang D, Liu Y
Frontiers in molecular biosciences 2022;9:792482
Frontiers in molecular biosciences 2022;9:792482
Physical and Functional Analysis of the Putative Rpn13 Inhibitor RA190.
Dickson P, Abegg D, Vinogradova E, Takaya J, An H, Simanski S, Cravatt BF, Adibekian A, Kodadek T
Cell chemical biology 2020 Nov 19;27(11):1371-1382.e6
Cell chemical biology 2020 Nov 19;27(11):1371-1382.e6
No comments: Submit comment
Supportive validation
- Submitted by
- Proteintech Group (provider)
- Main image

- Experimental details
- mouse lung tissue were subjected to SDS PAGE followed by western blot with 15469-1-AP(CYB5B antibody) at dilution of 1:500
- Sample type
- tissue
Supportive validation
- Submitted by
- Proteintech Group (provider)
- Main image

- Experimental details
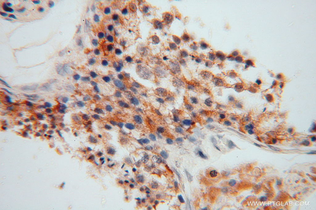
- Immunohistochemical of paraffin-embedded human testis using 15469-1-AP(CYB5B antibody) at dilution of 1:100 (under 10x lens)
- Sample type
- tissue
- Submitted by
- Proteintech Group (provider)
- Main image

- Experimental details
- The CYB5B antibody from Proteintech is a rabbit polyclonal antibody to a recombinant protein of human CYB5B. This antibody recognizes human,mouse,rat antigen. The CYB5B antibody has been validated for the following applications: ELISA, WB, IHC analysis.