Antibody data
- Antibody Data
- Antigen structure
- References [1]
- Comments [0]
- Validations
- Western blot [2]
- ELISA [1]
- Immunohistochemistry [1]
Submit
Validation data
Reference
Comment
Report error
- Product number
- PP1057P2 - Provider product page

- Provider
- OriGene
- Product name
- NGF rabbit polyclonal antibody, Aff - Purified
- Antibody type
- Polyclonal
- Description
- NGF rabbit polyclonal antibody, Aff - Purified
- Host
- Rabbit
- Conjugate
- Unconjugated
- Epitope
- NGF
- Antibody clone number
- NULL
- Vial size
- 100 µg
- Concentration
- NULL
Submitted references Neuronal plasticity in chronic pancreatitis is mediated via the neurturin/GFRα2 axis.
Demir IE, Wang K, Tieftrunk E, Giese NA, Xing B, Friess H, Kehl T, Ceyhan GO
American journal of physiology. Gastrointestinal and liver physiology 2012 Nov 1;303(9):G1017-28
American journal of physiology. Gastrointestinal and liver physiology 2012 Nov 1;303(9):G1017-28
No comments: Submit comment
Supportive validation
- Submitted by
- OriGene (provider)
- Main image

- Experimental details
- Western Blot (Unreduced) using beta-NGF Antibody Cat.-No PP1057P
- Validation comment
- WB
- Submitted by
- OriGene (provider)
- Main image

- Experimental details
- Western Blot (Reduced) using beta-NGF Antibody Cat.-No PP1057P
- Validation comment
- WB
Supportive validation
- Submitted by
- OriGene (provider)
- Main image

- Experimental details
- Sandwich ELISA using beta-NGF Antibody Cat.-No PP1057P
- Validation comment
- ELISA
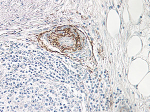
Supportive validation
- Submitted by
- OriGene (provider)
- Main image

- Experimental details
- Formalin-Fixed, Paraffin-Embedded sections of Human pancreas adenocarcinoma stained with beta-NGF Antibody Cat.-No PP1057P at 0.5 ug/ml with an overnight incubation at 4°C. An HRP-labeled polymer detection system was used with a DAB chromogen. Tissue samples were provided by the Cooperative Human Tissue Network, which is funded by the National Cancer Institute.
- Validation comment
- IHC