Antibody data
- Antibody Data
- Antigen structure
- References [0]
- Comments [0]
- Validations
- Western blot [2]
- Immunohistochemistry [1]
Submit
Validation data
Reference
Comment
Report error
- Product number
- RQ4871 - Provider product page

- Provider
- NSJ Bioreagents
- Product name
- NGF Antibody / Beta Nerve Growth Factor
- Antibody type
- Monoclonal
- Description
- This highly specific NGF antibody is suitable for use in Immunohistochemistry/Western blot applications with human and mouse samples.
- Reactivity
- Human, Mouse
- Host
- Rabbit
- Conjugate
- Unconjugated
- Antibody clone number
- BDE-14
- Vial size
- 100 ul
- Concentration
- Antibody in PBS with 0.02% sodium azide, 50% glycerol and 0.4-0.5mg/ml BSA
- Storage
- Store the NGF antibody at -20oC.
No comments: Submit comment
Supportive validation
- Submitted by
- NSJ Bioreagents (provider)
- Main image

- Experimental details
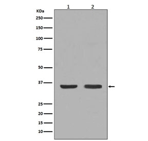
- Western blot testing of 1) mouse thyroid and 2) human HeLa lysate with NGF antibody. Predicted molecular weight ~27 kDa (dimer).
- Submitted by
- NSJ Bioreagents (provider)
- Main image

- Experimental details
- Western blot testing of 1) mouse thyroid and 2) human HeLa lysate with NGF antibody. Predicted molecular weight ~27 kDa (dimer).
Supportive validation
- Submitted by
- NSJ Bioreagents (provider)
- Main image

- Experimental details
- IHC staining of FFPE human kidney tissue with NGF antibody. HIER: boil tissue sections in pH6, 10mM citrate buffer, for 10-20 min and allow to cool before testing.