Antibody data
- Antibody Data
- Antigen structure
- References [0]
- Comments [0]
- Validations
- Western blot [2]
- Immunohistochemistry [2]
- Other assay [1]
Submit
Validation data
Reference
Comment
Report error
- Product number
- A302-822A - Provider product page

- Provider
- Invitrogen Antibodies
- Product name
- HJURP Polyclonal Antibody
- Antibody type
- Polyclonal
- Antigen
- Other
- Reactivity
- Human
- Host
- Rabbit
- Isotype
- IgG
- Vial size
- 100 µL
- Concentration
- 1 mg/mL
- Storage
- 4° C
No comments: Submit comment
Supportive validation
- Submitted by
- Invitrogen Antibodies (provider)
- Main image

- Experimental details
- Detection of human HJURP by western blot. Samples: Whole cell lysate (2 µg) from K-562, U2OS, HeLa, and MCF-7 cells prepared using NETN lysis buffer. Antibody: Affinity purified rabbit anti-HJURP antibody (Product # A302-822A lot 2) used for WB at 0.04 µg/mL. Detection: Chemiluminescence with an exposure time of 75 seconds.
- Submitted by
- Invitrogen Antibodies (provider)
- Main image

- Experimental details
- Detection of human HJURP by western blot and immunoprecipitation. Samples: Whole cell lysate from HeLa (5, 15 and 50 µg for WB; 1 mg for IP, 20% of IP loaded) and 293T (T; 50 µg) cells. Antibodies: Affinity purified rabbit anti-HJURP antibody A302-822A used for WB at 0.1 µg/ml (A) and 1 µg/ml (B) and used for IP at 3 µg/mg lysate. HJURP was also immunoprecipitated by rabbit anti-HJURP antibody A302-823A, which recognizes a downstream epitope. Detection: Chemiluminescence with exposure times of 3 minutes (A) and 30 seconds (B).
Supportive validation
- Submitted by
- Invitrogen Antibodies (provider)
- Main image

- Experimental details
- Detection of human HJURP by immunohistochemistry. Sample: FFPE section of human lung carcinoma. Antibody: Affinity purified rabbit anti-HJURP (Product # A302-822A) used at a dilution of 1:5,000 (0.2 µg/mL) Detection: DAB.
- Submitted by
- Invitrogen Antibodies (provider)
- Main image

- Experimental details
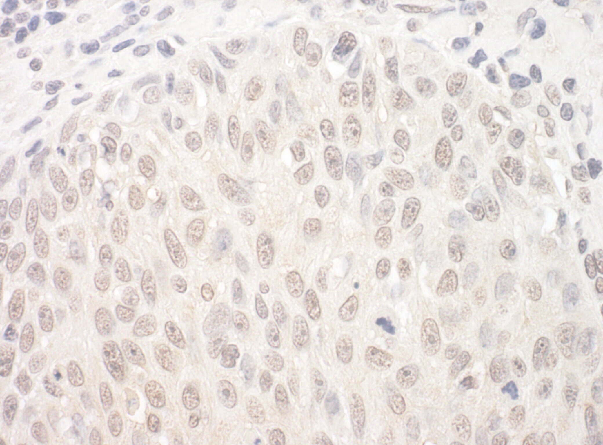
- Detection of human HJURP by immunohistochemistry. Sample: FFPE section of human skin carcinoma. Antibody: Affinity purified rabbit anti-HJURP (Cat. No. A302-822A) used at a dilution of 1:1,000 (1µg/ml) Detection: DAB.
Supportive validation
- Submitted by
- Invitrogen Antibodies (provider)
- Main image

- Experimental details
- Detection of human HJURP by western blot of immunoprecipitates. Samples: Whole cell lysate (500 µg for IP; 2% of IP loaded) from K-562 cells prepared using NETN lysis buffer. Antibodies: Affinity purified rabbit anti-HJURP antibody (Product # A302-822A lot 2) used for IP at 6 µg per reaction. HJURP was also immunoprecipitated by a previous lot of this antibody (A302-822A lot 1) and rabbit anti-HJURP antibody (Product # A302-823A lot 1). For blotting immunoprecipitated HJURP (Product # A302-822A) was used at 0.04 µg/mL. Detection: Chemiluminescence with an exposure time of 75 seconds.