Antibody data
- Antibody Data
- Antigen structure
- References [0]
- Comments [0]
- Validations
- Western blot [1]
- ELISA [1]
- Immunocytochemistry [1]
- Immunohistochemistry [2]
Submit
Validation data
Reference
Comment
Report error
- Product number
- H00000965-M01 - Provider product page

- Provider
- Novus Biologicals
- Proper citation
- Novus Cat#H00000965-M01, RRID:AB_537565
- Product name
- Mouse Monoclonal CD58/LFA-3 Antibody
- Antibody type
- Monoclonal
- Description
- IgG purified. CD58 - CD58 antigen, (lymphocyte function-associated antigen 3)
- Reactivity
- Human
- Host
- Mouse
- Isotype
- IgG
- Vial size
- 0.1 mg
- Storage
- Aliquot and store at -20C or -80C. Avoid freeze-thaw cycles.
No comments: Submit comment
Supportive validation
- Submitted by
- Novus Biologicals (provider)
- Main image

- Experimental details
- Western Blot: CD58/LFA-3 Antibody (2D11-B10) [H00000965-M01] - CD58 monoclonal antibody (M01), clone 2D11-B10 Analysis of CD58 expression in Jurkat.
Supportive validation
- Submitted by
- Novus Biologicals (provider)
- Main image

- Experimental details
- ELISA: CD58/LFA-3 Antibody (2D11-B10) [H00000965-M01] - Detection limit for recombinant GST tagged CD58 is approximately 0.3ng/ml as a capture antibody.
Supportive validation
- Submitted by
- Novus Biologicals (provider)
- Main image

- Experimental details
- Immunocytochemistry/Immunofluorescence: CD58/LFA-3 Antibody (2D11-B10) [H00000965-M01] - Analysis of monoclonal antibody to CD58 on HeLa cell. Antibody concentration 10 ug/ml.
Supportive validation
- Submitted by
- Novus Biologicals (provider)
- Main image

- Experimental details
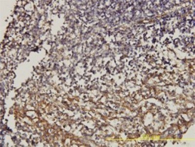
- Immunohistochemistry-Paraffin: CD58/LFA-3 Antibody (2D11-B10) [H00000965-M01] - Analysis of monoclonal antibody to CD58 on formalin-fixed paraffin-embedded human lymphoma tissue Antibody concentration 3 ug/ml.
- Submitted by
- Novus Biologicals (provider)
- Main image

- Experimental details
- Immunohistochemistry-Paraffin: CD58/LFA-3 Antibody (2D11-B10) [H00000965-M01] - Analysis of monoclonal antibody to CD58 on formalin-fixed paraffin-embedded human tonsil. Antibody concentration 2 ug/ml.