Antibody data
- Antibody Data
- Antigen structure
- References [0]
- Comments [0]
- Validations
- Western blot [1]
- Immunohistochemistry [8]
Submit
Validation data
Reference
Comment
Report error
- Product number
- STJ13100407 - Provider product page

- Provider
- St John's Laboratory
- Product name
- Anti-TRPM8 antibody (STJ13100407)
- Antibody type
- Polyclonal
- Description
- Nz White Rabbit polyclonal antibody anti-TRPM8 is suitable for use in Immunohistochemistry and Western Blot research applications.
- Reactivity
- Mouse, Rat
- Conjugate
- Unconjugated
- Antigen sequence
NA- Epitope
- NA
- Isotype
- IgG
- Antibody clone number
- NA
- Vial size
- NA
- Concentration
- NA
- Storage
- Maintain the lyophilised/reconstituted antibodies frozen at-20°C for long term storage and refrigerated at 2-8°C for a shorter term. When reconstituting, glycerol (1:1) may be added for an additional stability. Avoid freeze and thaw cycles.
- Handling
- NA
No comments: Submit comment
Supportive validation
- Submitted by
- St John's Laboratory (provider)
- Main image

- Experimental details
- WB on tissue lysates. Blocking: 1% LFDM for 30 min at RT; primary antibody dilution 1: 1000 incubated overnight at 4C.
- Sample type
- NA
- Validation comment
- NA
- Primary Ab dilution
- NA
- Other comments
- NA
- Secondary Ab
- NA
- Secondary Ab dilution
- NA
- Protocol
- NA
Supportive validation
Supportive validation
Supportive validation
Supportive validation
Supportive validation
Supportive validation
Supportive validation
Supportive validation
- Submitted by
- St John's Laboratory (provider)
- Main image

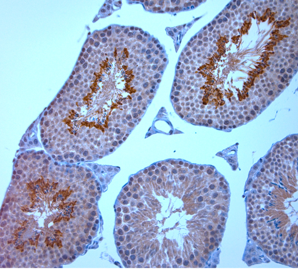
- Experimental details
- IHC-P on paraffin sections of mouse testis.The animal was perfused using Autoperfuser at a pressure of 130 mmHg with 300 ml 4% FA before being processed for paraffin embedding. HIER: Tris-EDTA, pH 9 for 20 min using Thermo PT Module.Blocking: 0.2% LFDM in TBST filtered thru 0.2 um. Detection was done using Novolink HRP polymer from Leica following manufacturer's instructions; DAB chromogen. Primary antibody dilution 1: 1000, incubated 30 min at RT using Autostainer. Sections were counterstained with Harris Hematoxylin.
- Sample type
- NA
- Validation comment
- NA
- Primary Ab dilution
- NA
- Other comments
- NA
- Secondary Ab
- NA
- Secondary Ab dilution
- NA
- Protocol
- NA
Supportive validation
- Submitted by
- St John's Laboratory (provider)
- Main image

- Experimental details
- IHC-P on paraffin sections of mouse testis.The animal was perfused using Autoperfuser at a pressure of 130 mmHg with 300 ml 4% FA before being processed for paraffin embedding. HIER: Tris-EDTA, pH 9 for 20 min using Thermo PT Module.Blocking: 0.2% LFDM in TBST filtered thru 0.2 um. Detection was done using Novolink HRP polymer from Leica following manufacturer's instructions; DAB chromogen. Primary antibody dilution 1: 1000, incubated 30 min at RT using Autostainer. Sections were counterstained with Harris Hematoxylin.
- Sample type
- NA
- Validation comment
- NA
- Primary Ab dilution
- NA
- Other comments
- NA
- Secondary Ab
- NA
- Secondary Ab dilution
- NA
- Protocol
- NA
Supportive validation
- Submitted by
- St John's Laboratory (provider)
- Main image

- Experimental details
- IHC-P on paraffin sections of mouse testis.The animal was perfused using Autoperfuser at a pressure of 130 mmHg with 300 ml 4% FA before being processed for paraffin embedding. HIER: Tris-EDTA, pH 9 for 20 min using Thermo PT Module.Blocking: 0.2% LFDM in TBST filtered thru 0.2 um. Detection was done using Novolink HRP polymer from Leica following manufacturer's instructions; DAB chromogen. Primary antibody dilution 1: 1000, incubated 30 min at RT using Autostainer. Sections were counterstained with Harris Hematoxylin.
- Sample type
- NA
- Validation comment
- NA
- Primary Ab dilution
- NA
- Other comments
- NA
- Secondary Ab
- NA
- Secondary Ab dilution
- NA
- Protocol
- NA
Supportive validation
- Submitted by
- St John's Laboratory (provider)
- Main image

- Experimental details
- IHC-P on paraffin sections of mouse testis.The animal was perfused using Autoperfuser at a pressure of 130 mmHg with 300 ml 4% FA before being processed for paraffin embedding. HIER: Tris-EDTA, pH 9 for 20 min using Thermo PT Module.Blocking: 0.2% LFDM in TBST filtered thru 0.2 um. Detection was done using Novolink HRP polymer from Leica following manufacturer's instructions; DAB chromogen. Primary antibody dilution 1: 1000, incubated 30 min at RT using Autostainer. Sections were counterstained with Harris Hematoxylin.
- Sample type
- NA
- Validation comment
- NA
- Primary Ab dilution
- NA
- Other comments
- NA
- Secondary Ab
- NA
- Secondary Ab dilution
- NA
- Protocol
- NA
Supportive validation
- Submitted by
- St John's Laboratory (provider)
- Main image

- Experimental details
- IHC-P on paraffin sections of rat testis.The animal was perfused using Autoperfuser at a pressure of 130 mmHg with 300 ml 4% FA before being processed for paraffin embedding. HIER: Tris-EDTA, pH 9 for 20 min using Thermo PT Module.Blocking: 0.2% LFDM in TBST filtered thru 0.2 um. Detection was done using Novolink HRP polymer from Leica following manufacturer's instructions; DAB chromogen. Primary antibody dilution 1: 1000, incubated 30 min at RT using Autostainer. Sections were counterstained with Harris Hematoxylin.
- Sample type
- NA
- Validation comment
- NA
- Primary Ab dilution
- NA
- Other comments
- NA
- Secondary Ab
- NA
- Secondary Ab dilution
- NA
- Protocol
- NA
Supportive validation
- Submitted by
- St John's Laboratory (provider)
- Main image

- Experimental details
- IHC-P on paraffin sections of rat testis.The animal was perfused using Autoperfuser at a pressure of 130 mmHg with 300 ml 4% FA before being processed for paraffin embedding. HIER: Tris-EDTA, pH 9 for 20 min using Thermo PT Module.Blocking: 0.2% LFDM in TBST filtered thru 0.2 um. Detection was done using Novolink HRP polymer from Leica following manufacturer's instructions; DAB chromogen. Primary antibody dilution 1: 1000, incubated 30 min at RT using Autostainer. Sections were counterstained with Harris Hematoxylin.
- Sample type
- NA
- Validation comment
- NA
- Primary Ab dilution
- NA
- Other comments
- NA
- Secondary Ab
- NA
- Secondary Ab dilution
- NA
- Protocol
- NA
Supportive validation
- Submitted by
- St John's Laboratory (provider)
- Main image

- Experimental details
- IHC-P on paraffin sections of rat testis.The animal was perfused using Autoperfuser at a pressure of 130 mmHg with 300 ml 4% FA before being processed for paraffin embedding. HIER: Tris-EDTA, pH 9 for 20 min using Thermo PT Module.Blocking: 0.2% LFDM in TBST filtered thru 0.2 um. Detection was done using Novolink HRP polymer from Leica following manufacturer's instructions; DAB chromogen. Primary antibody dilution 1: 1000, incubated 30 min at RT using Autostainer. Sections were counterstained with Harris Hematoxylin.
- Sample type
- NA
- Validation comment
- NA
- Primary Ab dilution
- NA
- Other comments
- NA
- Secondary Ab
- NA
- Secondary Ab dilution
- NA
- Protocol
- NA
Supportive validation
- Submitted by
- St John's Laboratory (provider)
- Main image

- Experimental details
- IHC-P on paraffin sections of rat testis.The animal was perfused using Autoperfuser at a pressure of 130 mmHg with 300 ml 4% FA before being processed for paraffin embedding. HIER: Tris-EDTA, pH 9 for 20 min using Thermo PT Module.Blocking: 0.2% LFDM in TBST filtered thru 0.2 um. Detection was done using Novolink HRP polymer from Leica following manufacturer's instructions; DAB chromogen. Primary antibody dilution 1: 1000, incubated 30 min at RT using Autostainer. Sections were counterstained with Harris Hematoxylin.
- Sample type
- NA
- Validation comment
- NA
- Primary Ab dilution
- NA
- Other comments
- NA
- Secondary Ab
- NA
- Secondary Ab dilution
- NA
- Protocol
- NA