Antibody data
- Antibody Data
- Antigen structure
- References [0]
- Comments [0]
- Validations
- Immunocytochemistry [3]
- Immunohistochemistry [3]
Submit
Validation data
Reference
Comment
Report error
- Product number
- PA5-120442 - Provider product page

- Provider
- Invitrogen Antibodies
- Product name
- BOK Polyclonal Antibody
- Antibody type
- Polyclonal
- Antigen
- Synthetic peptide
- Description
- Positive test controls include: Mouse brain, Rat testis. The target is usually found in the following locations: Endoplasmic reticulum membrane, Golgi apparatus membrane, Single-pass membrane protein. Immunogen sequence: MEVLRRSSVF AAEIMDAFDR SPTDKELVAQ AKALGREYVH ARLLRAGLSW SAPERAAPVP GRLAEVCAVL LRLGDELEMI RPSVYRNVAR QLHISLQSEP
- Reactivity
- Human, Mouse, Rat
- Host
- Rabbit
- Isotype
- IgG
- Vial size
- 100 μL
- Concentration
- 0.79 mg/mL
- Storage
- -20°C, Avoid Freeze/Thaw Cycles
No comments: Submit comment
Supportive validation
- Submitted by
- Invitrogen Antibodies (provider)
- Main image

- Experimental details
- Immunofluorescence analysis of BOK in MCF7 cells. Samples were incubated with BOK Polyclonal antibody (Product # PA5-120442) using a dilution of 1:100 (40x lens). Blue: DAPI for nuclear staining.
- Submitted by
- Invitrogen Antibodies (provider)
- Main image

- Experimental details
- Immunocytochemical analysis of BOK in MCF7 cells using a BOK Polyclonal antibody (Product # PA5-120442). Blue: DAPI for nuclear staining.
- Submitted by
- Invitrogen Antibodies (provider)
- Main image

- Experimental details
- Immunofluorescence analysis of BOK in NIH/3T3 cells. Samples were incubated with BOK Polyclonal antibody (Product # PA5-120442) using a dilution of 1:100 (40x lens). Blue: DAPI for nuclear staining.
Supportive validation
- Submitted by
- Invitrogen Antibodies (provider)
- Main image

- Experimental details
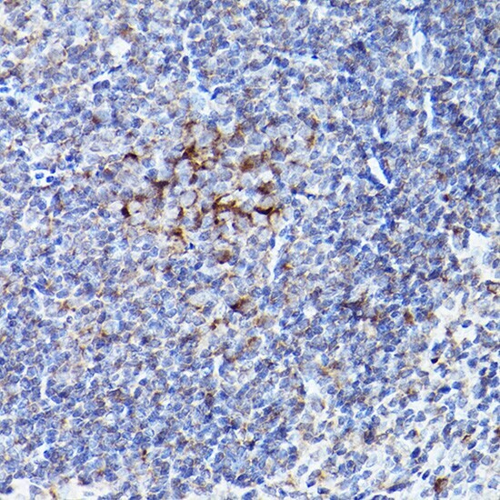
- Immunohistochemistry analysis of BOK in paraffin-embedded mouse spleen. Samples were incubated with BOK Polyclonal antibody (Product # PA5-120442) using a dilution of 1:100 (40x lens). Perform high pressure antigen retrieval with 10 mM citrate buffer pH 6.0 before commencing with IHC staining protocol.
- Submitted by
- Invitrogen Antibodies (provider)
- Main image

- Experimental details
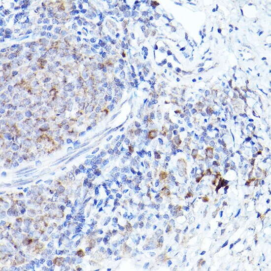
- Immunohistochemistry analysis of BOK in paraffin-embedded rat ovary. Samples were incubated with BOK Polyclonal antibody (Product # PA5-120442) using a dilution of 1:100 (40x lens). Perform high pressure antigen retrieval with 10 mM citrate buffer pH 6.0 before commencing with IHC staining protocol.
- Submitted by
- Invitrogen Antibodies (provider)
- Main image

- Experimental details
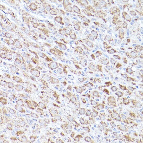
- Immunohistochemistry analysis of BOK in paraffin-embedded rat lung. Samples were incubated with BOK Polyclonal antibody (Product # PA5-120442) using a dilution of 1:100 (40x lens). Perform high pressure antigen retrieval with 10 mM citrate buffer pH 6.0 before commencing with IHC staining protocol.