Antibody data
- Antibody Data
- Antigen structure
- References [0]
- Comments [0]
- Validations
- Immunohistochemistry [1]
Submit
Validation data
Reference
Comment
Report error
- Product number
- LS-A105758 - Provider product page

- Provider
- LSBio
- Product name
- IHC-plus™ RORC / ROR Gamma Antibody (Ligand-binding Domain, FITC) LS-A105758
- Antibody type
- Polyclonal
- Description
- Immunoaffinity purified
- Reactivity
- Human, Simian
- Host
- Rabbit
- Conjugate
- Green dye
- Storage
- Aliquot and store undiluted at -20°C or below for up to 1 year. Can be stored undiluted at 4°C for up to 1 month. Avoid freeze-thaw cycles.
No comments: Submit comment
Supportive validation
- Submitted by
- LSBio (provider)
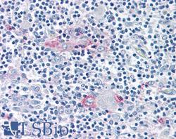
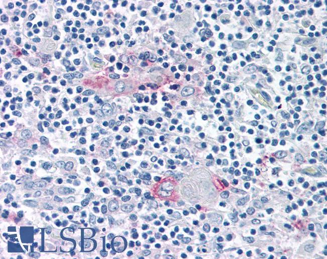
- Main image

- Experimental details
- Anti-ROR Gamma antibody IHC of human thymus. Immunohistochemistry of formalin-fixed, paraffin-embedded tissue after heat-induced antigen retrieval.