Antibody data
- Antibody Data
- Antigen structure
- References [0]
- Comments [0]
- Validations
- Western blot [1]
- Immunocytochemistry [1]
- Immunohistochemistry [5]
Submit
Validation data
Reference
Comment
Report error
- Product number
- NBP1-81071 - Provider product page

- Provider
- Novus Biologicals
- Proper citation
- Novus Cat#NBP1-81071, RRID:AB_11008530
- Product name
- Rabbit Polyclonal CCDC23 Antibody
- Antibody type
- Polyclonal
- Description
- Immunogen affinity purified. Specificity of human CCDC23 antibody verified on a Protein Array containing target protein plus 383 other non-specific proteins.
- Reactivity
- Human
- Host
- Rabbit
- Isotype
- IgG
- Vial size
- 0.1 ml
- Storage
- Store at 4C short term. Aliquot and store at -20C long term. Avoid freeze-thaw cycles.
No comments: Submit comment
Supportive validation
- Submitted by
- Novus Biologicals (provider)
- Main image

- Experimental details
- Western Blot: CCDC23 Antibody [NBP1-81071] - Analysis in control (vector only transfected HEK293T lysate) and CCDC23 over-expression lysate (Co-expressed with a C-terminal myc-DDK tag (3.1 kDa) in mammalian HEK293T cells).
Supportive validation
- Submitted by
- Novus Biologicals (provider)
- Main image

- Experimental details
- Immunocytochemistry/Immunofluorescence: CCDC23 Antibody [NBP1-81071] - Staining of human cell line U-251 MG shows localization to nucleoplasm, nuclear bodies & cytosol. Antibody staining is shown in green.
Supportive validation
- Submitted by
- Novus Biologicals (provider)
- Main image

- Experimental details
- Immunohistochemistry-Paraffin: CCDC23 Antibody [NBP1-81071] - Staining of human esophagus shows strong cytoplasmic positivity in squamous epithelial cells(cells located above basal layer).
- Submitted by
- Novus Biologicals (provider)
- Main image

- Experimental details
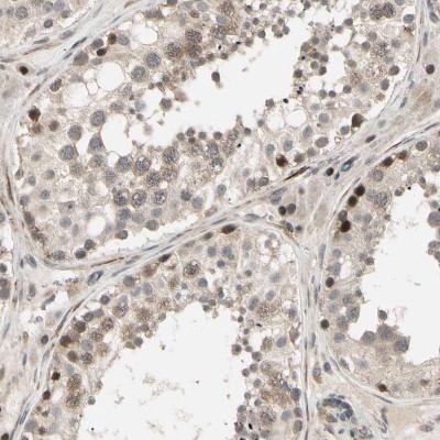
- Immunohistochemistry-Paraffin: CCDC23 Antibody [NBP1-81071] - Staining of human testis shows moderate nuclear positivity in a subset of cells in seminiferous ducts.
- Submitted by
- Novus Biologicals (provider)
- Main image

- Experimental details
- Immunohistochemistry-Paraffin: CCDC23 Antibody [NBP1-81071] - Staining of human pancreas shows no positivity in exocrine glandular cells as expected.
- Submitted by
- Novus Biologicals (provider)
- Main image

- Experimental details
- Immunohistochemistry-Paraffin: CCDC23 Antibody [NBP1-81071] - Staining of human skin shows moderate to strong cytoplasmic positivity in squamous epithelial cells.
- Submitted by
- Novus Biologicals (provider)
- Main image

- Experimental details
- Immunohistochemistry-Paraffin: CCDC23 Antibody [NBP1-81071] - Staining of human placenta shows weak to moderate nuclear positivity in a subset of trophoblastic cells.