Antibody data
- Antibody Data
- Antigen structure
- References [0]
- Comments [0]
- Validations
- Western blot [2]
- Immunohistochemistry [5]
Submit
Validation data
Reference
Comment
Report error
- Product number
- PA1-31202 - Provider product page

- Provider
- Invitrogen Antibodies
- Product name
- NPR1 Polyclonal Antibody
- Antibody type
- Polyclonal
- Antigen
- Synthetic peptide
- Description
- Recommended positive controls: Brain, kidney and spleen.
- Reactivity
- Human, Mouse, Rat
- Host
- Rabbit
- Isotype
- IgG
- Vial size
- 100 μg
- Concentration
- 0.85 mg/mL
- Storage
- Store at 4°C short term. For long term storage, store at -20°C, avoiding freeze/thaw cycles.
No comments: Submit comment
Supportive validation
- Submitted by
- Invitrogen Antibodies (provider)
- Main image

- Experimental details
- Western Blot analysis of PGCA recombinant protein using PGC1 alpha Polyclonal Antibody (Product # PA1-31202). Dilution: 1:500.
- Submitted by
- Invitrogen Antibodies (provider)
- Main image

- Experimental details
- Western blot was performed using Anti-PGC1 alpha Polyclonal Antibody(Product # PA1-31202) and a 91kDa band corresponding to PGC1 alpha was observed across the tissues with uncharacterized non specific bands(*). Tissue extracts (30 µg lysate) of Mouse Kidney (Lane 1), Mouse Heart (Lane 2), Rat Heart (Lane 3), Mouse Brain (Lane 4) were electrophoresed using NuPAGE™ 4-12% Bis-Tris Protein Gel (Product # NP0321BOX). Resolved proteins were then transferred onto a Nitrocellulose membrane (Product # IB23001) by iBlot® 2 Dry Blotting System (Product # IB21001). The blot was probed with the primary antibody (1:500) and detected by chemiluminescence with Goat Anti-Rabbit IgG Secondary Antibody, HRP conjugate (Product # A27036, 1:4000 dilution) 1:2000) using the iBright FL 1000 (Product # A32752). Chemiluminescent detection was performed using Novex® ECL Chemiluminescent Substrate Reagent Kit (Product # WP20005).
Supportive validation
- Submitted by
- Invitrogen Antibodies (provider)
- Main image

- Experimental details
- Immunohistochemistry-Wm analysis of mouse nose tissue using PGC1 alpha Polyclonal Antibody (Product # PA1-31202) with (Left) or without (Right) blocking peptide. Red: Primary antibody. Green: Greneberg ganglion neurons.
- Submitted by
- Invitrogen Antibodies (provider)
- Main image

- Experimental details
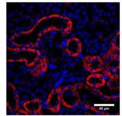
- Immunohistochemistry analysis of mouse kidney tissue using PGC1 alpha Polyclonal Antibody (Product # PA1-31202). Red: Primary antibody. Blue: Nuclei.
- Submitted by
- Invitrogen Antibodies (provider)
- Main image

- Experimental details
- Immunohistochemistry analysis of mouse heart tissue using PGC1 alpha Polyclonal Antibody (Product # PA1-31202). Red: Primary antibody. Blue: Nuclei.
- Submitted by
- Invitrogen Antibodies (provider)
- Main image

- Experimental details
- Immunohistochemistry analysis of mouse kidney tissue using PGC1 alpha Polyclonal Antibody (Product # PA1-31202). Red: Primary antibody. Blue: Nuclei.
- Submitted by
- Invitrogen Antibodies (provider)
- Main image

- Experimental details
- Immunohistochemistry analysis of mouse heart tissue using PGC1 alpha Polyclonal Antibody (Product # PA1-31202). Red: Primary antibody. Blue: Nuclei.