Antibody data
- Antibody Data
- Antigen structure
- References [0]
- Comments [0]
- Validations
- Immunocytochemistry [2]
- Immunohistochemistry [4]
Submit
Validation data
Reference
Comment
Report error
- Product number
- PA5-52857 - Provider product page

- Provider
- Invitrogen Antibodies
- Product name
- TMEM109 Polyclonal Antibody
- Antibody type
- Polyclonal
- Antigen
- Recombinant protein fragment
- Description
- Immunogen sequence: LEAKVRGLER QVEELRWRQR RAAKGARSVE E Highest antigen sequence identity to the following orthologs: Mouse - 84%, Rat - 84%.
- Reactivity
- Human, Mouse, Rat
- Host
- Rabbit
- Isotype
- IgG
- Vial size
- 100 μL
- Concentration
- 0.2 mg/mL
- Storage
- Store at 4°C short term. For long term storage, store at -20°C, avoiding freeze/thaw cycles.
No comments: Submit comment
Supportive validation
- Submitted by
- Invitrogen Antibodies (provider)
- Main image

- Experimental details
- Immunofluorescent staining of TMEM109 in human cell line A-431 shows positivity in nuclear membrane & cytoplasm. Samples were probed using a TMEM109 Polyclonal Antibody (Product # PA5-52857).
- Submitted by
- Invitrogen Antibodies (provider)
- Main image

- Experimental details
- Immunofluorecent analysis of TMEM109 in human cell line A-431 using TMEM109 Polyclonal Antibody (Product # PA5-52857). Staining shows localization to nuclear membrane and cytosol.
Supportive validation
- Submitted by
- Invitrogen Antibodies (provider)
- Main image

- Experimental details
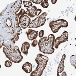
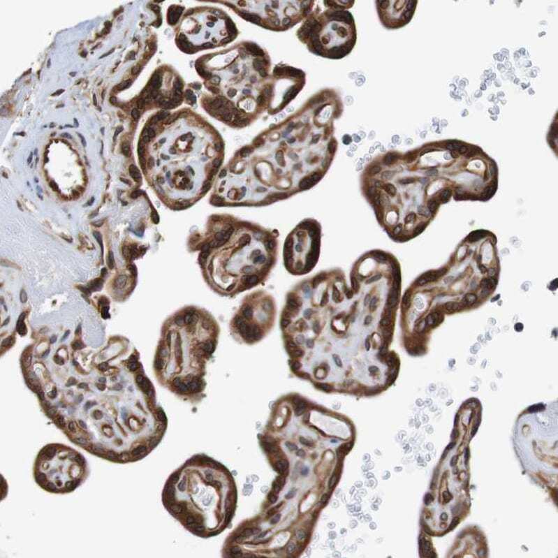
- Immunohistochemical analysis of TMEM109 in human placenta using TMEM109 Polyclonal Antibody (Product # PA5-52857) shows strong cytoplasmic positivity in trophoblastic cells.
- Submitted by
- Invitrogen Antibodies (provider)
- Main image

- Experimental details
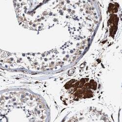
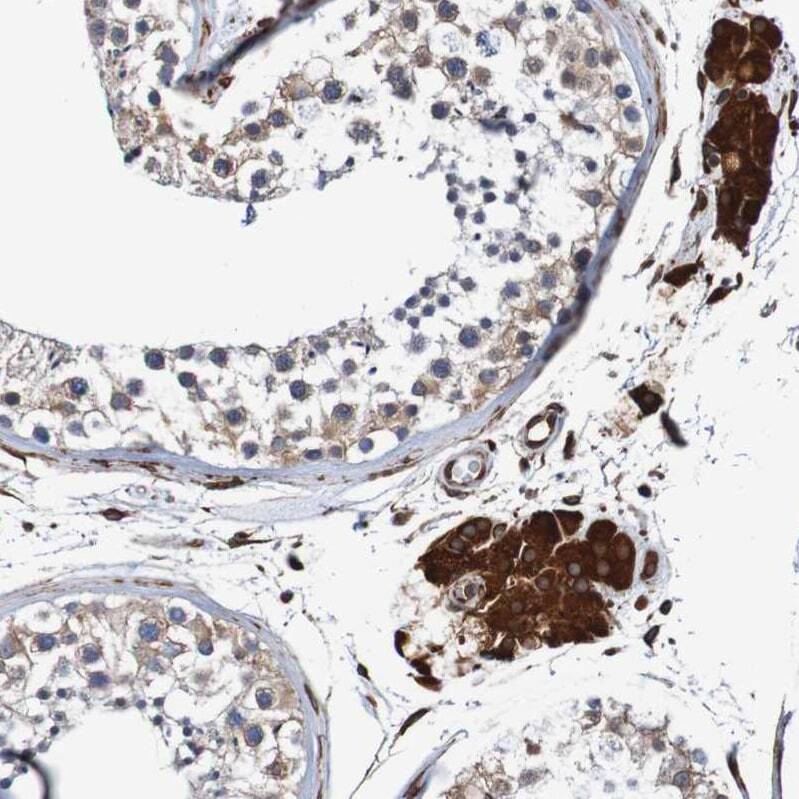
- Immunohistochemical analysis of TMEM109 in human testis using TMEM109 Polyclonal Antibody (Product # PA5-52857) shows strong cytoplasmic positivity in Leydig cells.
- Submitted by
- Invitrogen Antibodies (provider)
- Main image

- Experimental details
- Immunohistochemical analysis of TMEM109 in human tonsil using TMEM109 Polyclonal Antibody (Product # PA5-52857) shows strong cytoplasmic positivity in non-germinal center cells.
- Submitted by
- Invitrogen Antibodies (provider)
- Main image

- Experimental details
- Immunohistochemical analysis of TMEM109 in human pancreas using TMEM109 Polyclonal Antibody (Product # PA5-52857) shows strong cytoplasmic positivity in exocrine glandular cells.