Antibody data
- Antibody Data
- Antigen structure
- References [0]
- Comments [0]
- Validations
- Western blot [1]
- Immunoprecipitation [1]
- Other assay [1]
Submit
Validation data
Reference
Comment
Report error
- Product number
- PA5-112198 - Provider product page

- Provider
- Invitrogen Antibodies
- Product name
- TMEM109 Polyclonal Antibody
- Antibody type
- Polyclonal
- Antigen
- Other
- Reactivity
- Human
- Host
- Rabbit
- Isotype
- IgG
- Vial size
- 100 μL
- Concentration
- 1 mg/mL
- Storage
- Store at 4°C short term. For long term storage, store at -20°C, avoiding freeze/thaw cycles.
No comments: Submit comment
Supportive validation
- Submitted by
- Invitrogen Antibodies (provider)
- Main image

- Experimental details
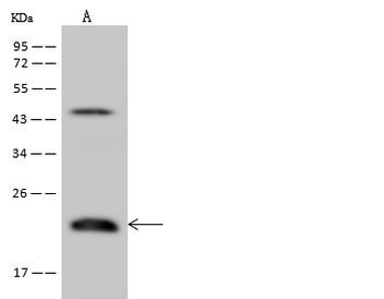
- Western Blot analysis of TMEM109 using TMEM109 Polyclonal Antibody (Product # PA5-112198) at a dilution of 1:500. Lane A: U-251 MG whole cell lysate, (Lysates/proteins at 30 µg per lane). The secondary antibody used was a Goat Anti-Rabbit IgG (H+L)/HRP at 1:10,000 dilution. Developed using the ECL technique and performed under reducing conditions. Predicted band size: 20 kDa. Observed band size: 22 kDa.
Supportive validation
- Submitted by
- Invitrogen Antibodies (provider)
- Main image

- Experimental details
- Immunoprecipitation of TMEM109 was performed on (Lane A) 0.5 mg U-251MG whole cell lysate using 4 µL of TMEM109 Polyclonal Antibody (Product # PA5-112198) at a dilution of 1:100, and 60 µg of Immunomagnetic beads Protein A/G. A Goat Anti-Rabbit IgG (H+L)/HRP was used as a secondary antibody at a dilution of 1:10,000. Developed using the ECL technique and performed under reducing conditions. Predicted band size: 20 kDa. Observed band size: 20 kDa.
Supportive validation
- Submitted by
- Invitrogen Antibodies (provider)
- Main image

- Experimental details
- Immunoprecipitation of TMEM109 was performed on (Lane A) 0.5 mg U-251MG whole cell lysate using 4 µL of TMEM109 Polyclonal Antibody (Product # PA5-112198) at a dilution of 1:100, and 60 µg of Immunomagnetic beads Protein A/G. A Goat Anti-Rabbit IgG (H+L)/HRP was used as a secondary antibody at a dilution of 1:10,000. Developed using the ECL technique and performed under reducing conditions. Predicted band size: 20 kDa. Observed band size: 20 kDa.