Antibody data
- Antibody Data
- Antigen structure
- References [8]
- Comments [0]
- Validations
- Western blot [1]
- Immunohistochemistry [2]
Submit
Validation data
Reference
Comment
Report error
- Product number
- 10278-1-AP - Provider product page

- Provider
- Proteintech Group
- Proper citation
- Proteintech Cat#10278-1-AP, RRID:AB_2195624
- Product name
- TRAPB/SSR2 antibody
- Antibody type
- Polyclonal
- Description
- TRAPB/SSR2 antibody (Cat. #10278-1-AP) is a rabbit polyclonal antibody that shows reactivity with human, mouse, rat and has been validated for the following applications: FC, IF, IHC, WB, ELISA.
- Reactivity
- Human, Mouse, Rat
- Host
- Rabbit
- Conjugate
- Unconjugated
- Isotype
- IgG
- Vial size
- 20ul, 150ul
Submitted references Signal recognition particle receptor-β (SR-β) coordinates cotranslational N-glycosylation.
Endoplasmic Reticulum Stress-Related Signature for Predicting Prognosis and Immune Features in Hepatocellular Carcinoma.
The Role of TRAPγ/SSR3 in Preproinsulin Translocation Into the Endoplasmic Reticulum.
Overexpression of SSR2 promotes proliferation of liver cancer cells and predicts prognosis of patients with hepatocellular carcinoma.
Deficient endoplasmic reticulum translocon-associated protein complex limits the biosynthesis of proinsulin and insulin.
The translocon-associated protein (TRAP) complex regulates quality control of N-linked glycosylation during ER stress.
Long noncoding RNA SNHG14 promotes hepatocellular carcinoma progression by regulating miR-876-5p/SSR2 axis.
RNF126-Mediated Reubiquitination Is Required for Proteasomal Degradation of p97-Extracted Membrane Proteins.
Phoomak C, Rinis N, Baro M, Shrimal S, Bennett D, Shaffer SA, Lehrman M, Gilmore R, Contessa JN
Science advances 2023 Mar 17;9(11):eade8079
Science advances 2023 Mar 17;9(11):eade8079
Endoplasmic Reticulum Stress-Related Signature for Predicting Prognosis and Immune Features in Hepatocellular Carcinoma.
Zhang G, Sun J
Journal of immunology research 2022;2022:1366508
Journal of immunology research 2022;2022:1366508
The Role of TRAPγ/SSR3 in Preproinsulin Translocation Into the Endoplasmic Reticulum.
Xu X, Huang Y, Li X, Arvan P, Liu M
Diabetes 2022 Mar 1;71(3):440-452
Diabetes 2022 Mar 1;71(3):440-452
Overexpression of SSR2 promotes proliferation of liver cancer cells and predicts prognosis of patients with hepatocellular carcinoma.
Chen F, Chen, Wang J, Zhang S, Chen M, Zhang X, Wu Z
Journal of cellular and molecular medicine 2022 Jun;26(11):3169-3182
Journal of cellular and molecular medicine 2022 Jun;26(11):3169-3182
Deficient endoplasmic reticulum translocon-associated protein complex limits the biosynthesis of proinsulin and insulin.
Huang Y, Xu X, Arvan P, Liu M
FASEB journal : official publication of the Federation of American Societies for Experimental Biology 2021 May;35(5):e21515
FASEB journal : official publication of the Federation of American Societies for Experimental Biology 2021 May;35(5):e21515
The translocon-associated protein (TRAP) complex regulates quality control of N-linked glycosylation during ER stress.
Phoomak C, Cui W, Hayman TJ, Yu SH, Zhao P, Wells L, Steet R, Contessa JN
Science advances 2021 Jan;7(3)
Science advances 2021 Jan;7(3)
Long noncoding RNA SNHG14 promotes hepatocellular carcinoma progression by regulating miR-876-5p/SSR2 axis.
Liao Z, Zhang H, Su C, Liu F, Liu Y, Song J, Zhu H, Fan Y, Zhang X, Dong W, Chen X, Liang H, Zhang B
Journal of experimental & clinical cancer research : CR 2021 Jan 23;40(1):36
Journal of experimental & clinical cancer research : CR 2021 Jan 23;40(1):36
RNF126-Mediated Reubiquitination Is Required for Proteasomal Degradation of p97-Extracted Membrane Proteins.
Hu X, Wang L, Wang Y, Ji J, Li J, Wang Z, Li C, Zhang Y, Zhang ZR
Molecular cell 2020 Jul 16;79(2):320-331.e9
Molecular cell 2020 Jul 16;79(2):320-331.e9
No comments: Submit comment
Supportive validation
- Submitted by
- Proteintech Group (provider)
- Main image

- Experimental details
- HepG2 cells were subjected to SDS PAGE followed by western blot with 10278-1-AP(TRAPB, SSR2 antibody) at dilution of 1:1000
- Sample type
- cell line
Supportive validation
- Submitted by
- Proteintech Group (provider)
- Main image

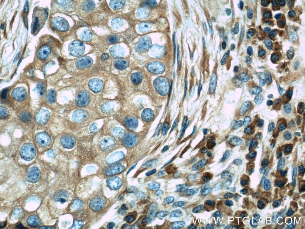
- Experimental details
- Immunohistochemical of paraffin-embedded human breast cancer using 10278-1-AP(TRAPB, SSR2 antibody) at dilution of 1:50 (under 10x lens)
- Sample type
- tissue
- Submitted by
- Proteintech Group (provider)
- Main image

- Experimental details
- The TRAPB/SSR2 antibody from Proteintech is a rabbit polyclonal antibody to a recombinant protein of human TRAPB/SSR2. This antibody recognizes human,mouse,rat antigen. The TRAPB/SSR2 antibody has been validated for the following applications: ELISA, WB, IHC analysis.