Antibody data
- Antibody Data
- Antigen structure
- References [0]
- Comments [0]
- Validations
- Immunohistochemistry [1]
Submit
Validation data
Reference
Comment
Report error
- Product number
- F50644 - Provider product page

- Provider
- NSJ Bioreagents
- Product name
- Insulin receptor-related Antibody
- Antibody type
- Polyclonal
- Description
- This highly specific Insulin receptor-related antibody is suitable for use in Western blot/Immunohistochemistry/ELISA applications with human, mouse and rat samples.
- Reactivity
- Human, Mouse, Rat
- Host
- Rabbit
- Conjugate
- Unconjugated
- Vial size
- 0.08 ml, 0.4 ml
- Concentration
- In 1X PBS, pH 7.4, with 0.09% sodium azide
- Storage
- Aliquot the Insulin receptor-related antibody and store frozen at -20oC or colder. Avoid repeated freeze-thaw cycles.
No comments: Submit comment
Supportive validation
- Submitted by
- NSJ Bioreagents (provider)
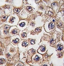
- Main image

- Experimental details
- IHC analysis of FFPE human testis tissue stained with Insulin receptor-related antibody