Antibody data
- Antibody Data
- Antigen structure
- References [0]
- Comments [0]
- Validations
- Immunohistochemistry [3]
Submit
Validation data
Reference
Comment
Report error
- Product number
- PA1-32772 - Provider product page

- Provider
- Invitrogen Antibodies
- Product name
- LS189744 Polyclonal Antibody
- Antibody type
- Polyclonal
- Antigen
- Synthetic peptide
- Description
- PA1-32772 detects Olfactory receptor LS189744 from human samples.
- Reactivity
- Human
- Host
- Rabbit
- Isotype
- IgG
- Vial size
- 25 µg
- Concentration
- 1 mg/mL
- Storage
- Store at 4°C short term. For long term storage, store at -20°C, avoiding freeze/thaw cycles.
No comments: Submit comment
Supportive validation
- Submitted by
- Invitrogen Antibodies (provider)
- Main image

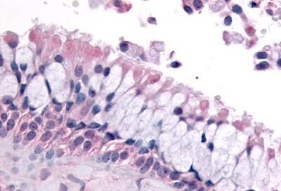
- Experimental details
- Immunohistochemistry (Paraffin) analysis of LS189744 in human nasal mucosa tissue (respiratory epithelium) using LS189744 Polyclonal Antibody (Product # PA1-32772). Antigen retrival : Heat-induced antigen retrieval.
- Submitted by
- Invitrogen Antibodies (provider)
- Main image

- Experimental details
- Immunohistochemical (Paraffin) analysis of human lung, small cell carcinoma tissue using (Product # PA1-32772) LS189744 Polyclonal Antibody. Antigen retrieval: Heat-induced antigen retrieval.
- Submitted by
- Invitrogen Antibodies (provider)
- Main image

- Experimental details
- Immunohistochemical (Paraffin) analysis of human nasal mucosa, respiratory epithelium tissue using (Product # PA1-32772) LS189744 Polyclonal Antibody. Antigen retrieval: Heat-induced antigen retrieval.