Antibody data
- Antibody Data
- Antigen structure
- References [0]
- Comments [0]
- Validations
- Western blot [1]
- Immunohistochemistry [3]
Submit
Validation data
Reference
Comment
Report error
- Product number
- bs-6020R - Provider product page

- Provider
- Bioss
- Proper citation
- Bioss Cat#bs-6020R, RRID:AB_11065633
- Product name
- ACVRL1 Polyclonal Antibody
- Antibody type
- Polyclonal
- Description
- KLH conjugated synthetic peptide derived from human ALK1
- Reactivity
- Human, Mouse, Rat
- Host
- Rabbit
- Conjugate
- Unconjugated
- Isotype
- IgG
- Vial size
- 100ul
- Concentration
- 1ug/ul
- Storage
- Aqueous buffered solution containing 1% BSA, 50% glycerol and 0.09% sodium azide. Store at -20°C for 12 months.
No comments: Submit comment
Supportive validation
- Submitted by
- Bioss (provider)
- Main image

- Experimental details
- Lane 1: rat brain lysates Lane 2: rat kidney lysates probed with Anti ACVRL1/ALK1 Polyclonal Antibody, Unconjugated (bs-6020R) at 1:200 in 4°C. Followed by conjugation to secondary antibody (bs-0295G-HRP) at 1:3000 90min in 37°C. Predicted band 53kD. Observed band size: 53kD.
- Sample type
- Rat
- Other comments
- Brain
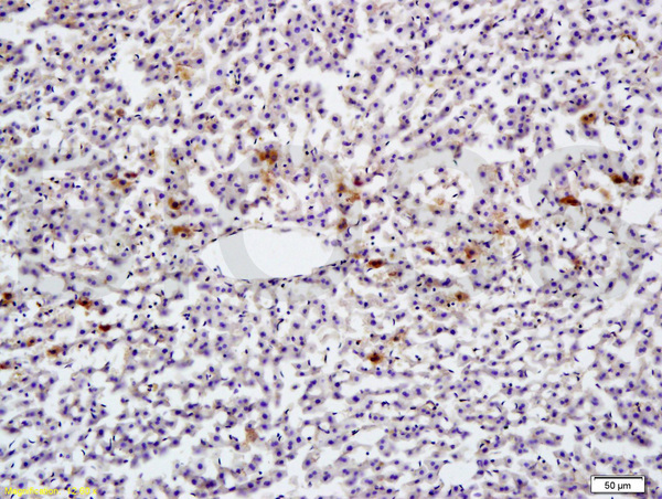
Supportive validation
- Submitted by
- Bioss (provider)
- Main image

- Experimental details
- Formalin-fixed and paraffin embedded rat liver tissue labeled with Anti ACVRL1/ALK1 Polyclonal Antibody, Unconjugated (bs-6020R) at 1:100 followed by conjugation to the secondary antibody and DAB staining
- Sample type
- Rat
- Other comments
- Liver
- Submitted by
- Bioss (provider)
- Main image

- Experimental details
- Formalin-fixed and paraffin embedded mouse cancer tissue labeled with Anti ACVRL1/ALK1 Polyclonal Antibody, Unconjugated (bs-6020R) at 1:300 followed by conjugation to the secondary antibody and DAB staining
- Sample type
- Mouse
- Other comments
- Others
- Submitted by
- Bioss (provider)
- Main image

- Experimental details
- Formalin-fixed and paraffin embedded human colon carcinoma tissue labeled with Anti ACVRL1/ALK1 Polyclonal Antibody, Unconjugated (bs-6020R) at 1:200 followed by conjugation to the secondary antibody and DAB staining
- Sample type
- Human
- Other comments
- Colon