Antibody data
- Antibody Data
- Antigen structure
- References [1]
- Comments [0]
- Validations
- Western blot [2]
- ELISA [1]
- Immunohistochemistry [1]
- Flow cytometry [1]
Submit
Validation data
Reference
Comment
Report error
- Product number
- GTX60568 - Provider product page

- Provider
- GeneTex
- Product name
- Alkaline Phosphatase (Tissue Non-Specific) antibody [2F4]
- Antibody type
- Monoclonal
- Reactivity
- Human
- Host
- Mouse
Submitted references Epigenetic and microenvironmental alterations in bone marrow associated with ROS in experimental aplastic anemia.
Chatterjee R, Law S
European journal of cell biology 2018 Jan;97(1):32-43
European journal of cell biology 2018 Jan;97(1):32-43
No comments: Submit comment
Supportive validation
- Submitted by
- GeneTex (provider)
- Main image

- Experimental details
- WB analysis of human ALPL (a.a. 18-502) recombinant protein using ALPL antibody [2F4].
- Submitted by
- GeneTex (provider)
- Main image

- Experimental details
- WB analysis of (1) HeLa and (2) NTERA-2 lysates using ALPL antibody [2F4].
Supportive validation
- Submitted by
- GeneTex (provider)
- Main image

- Experimental details
- ELISA analysis of control antigen and antigen using ALPL antibody [2F4].
Supportive validation
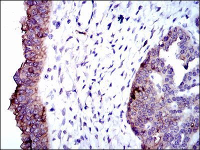
- Submitted by
- GeneTex (provider)
- Main image

- Experimental details
- IHC-P analysis of ovarian cancer tissues using ALPL antibody [2F4].
Supportive validation
- Submitted by
- GeneTex (provider)
- Main image

- Experimental details
- FACS analysis of MCF-7 cells using ALPL antibody [2F4] (green) or a negative control (red).