Antibody data
- Antibody Data
- Antigen structure
- References [1]
- Comments [0]
- Validations
- Immunohistochemistry [1]
Submit
Validation data
Reference
Comment
Report error
- Product number
- PAB16349 - Provider product page

- Provider
- Abnova Corporation
- Proper citation
- Abnova Corporation Cat#PAB16349, RRID:AB_10678520
- Product name
- GPR37L1 polyclonal antibody
- Antibody type
- Polyclonal
- Description
- Rabbit polyclonal antibody raised against synthetic peptide of GPR37L1.
- Storage
- Store at 4°C. For long term storage store at -80°C.Aliquot to avoid repeated freezing and thawing.
Submitted references Decrease in prosaposin in the Dystrophic mdx mouse brain.
Gao HL, Li C, Nabeka H, Shimokawa T, Kobayashi N, Saito S, Wang ZY, Cao YM, Matsuda S
PloS one 2013;8(11):e80032
PloS one 2013;8(11):e80032
No comments: Submit comment
Supportive validation
- Submitted by
- Abnova Corporation (provider)
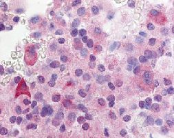
- Main image

- Experimental details
- Immunohistochemical (Formalin/PFA-fixed paraffin-embedded sections) staining in human anterior pituitary with GPR37L1 polyclonal antibody (Cat # PAB16349).
- Validation comment
- Immunohistochemistry (Formalin/PFA-fixed paraffin-embedded sections)