Antibody data
- Antibody Data
 - Antigen structure
 - References [0]
 - Comments [0]
 - Validations
 - Western blot [2]
 - Immunocytochemistry [1]
 - Immunohistochemistry [6]
 - Flow cytometry [1]
 
Submit
Validation data
Reference
Comment
Report error
- Product number
 - R32541 - Provider product page

 - Provider
 - NSJ Bioreagents
 - Product name
 - KDM5B Antibody / Jarid1B
 - Antibody type
 - Polyclonal
 - Description
 - This highly specific KDM5B antibody is suitable for use in Western blot/Immunohistochemistry/Immunofluorescence/Flow cytometry applications with human, mouse and rat, monkey samples.
 - Reactivity
 - Human, Mouse, Rat, Simian
 - Host
 - Rabbit
 - Conjugate
 - Unconjugated
 - Vial size
 - 100 ug
 - Concentration
 - 0.5mg/ml if reconstituted with 0.2ml sterile DI water
 - Storage
 - After reconstitution, the KDM5B antibody can be stored for up to one month at 4oC. For long-term, aliquot and store at -20oC. Avoid repeated freezing and thawing.
 
				No comments: Submit comment	
	
			
							
					Supportive validation
					
									
				
				- Submitted by
 - NSJ Bioreagents (provider)
 - Main image
 
- Experimental details
 - Western blot testing of 1) rat testis, 2) mouse testis and 3) human HepG2 lysate with KDM5B antibody at 0.5ug/ml. Predicted/observed molecular weight: ~176 kDa.
 
- Submitted by
 - NSJ Bioreagents (provider)
 - Main image
 
- Experimental details
 - Western blot testing of 1) monkey COS-7, 2) human SH-SY5Y, 3) rat testis and 4) mouse testis tissue lysate with KDM5B antibody at 0.5ug/ml. Predicted molecular weight: ~176 kDa and ~179 kDa (two isoforms).
 
							
					Supportive validation
					
									
				
				- Submitted by
 - NSJ Bioreagents (provider)
 - Main image
 
- Experimental details
 - Immunofluorescent staining of FFPE human MCF7 cells with KDM5B antibody (green) and DAPI nuclear stain (blue). HIER: steam section in pH6 citrate buffer for 20 min.
 
							
					Supportive validation
					
									
				
				- Submitted by
 - NSJ Bioreagents (provider)
 - Main image
 
- Experimental details
 - IHC staining of FFPE human breast cancer tissue with KDM5B antibody. HIER: boil tissue sections in pH8 EDTA for 20 min and allow to cool before testing.
 
- Submitted by
 - NSJ Bioreagents (provider)
 - Main image
 
- Experimental details
 - IHC staining of FFPE human lung cancer tissue with KDM5B antibody. HIER: boil tissue sections in pH8 EDTA for 20 min and allow to cool before testing.
 
- Submitted by
 - NSJ Bioreagents (provider)
 - Main image
 
- Experimental details
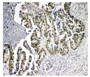
 - IHC staining of FFPE human intestinal cancer tissue with KDM5B antibody. HIER: boil tissue sections in pH8 EDTA for 20 min and allow to cool before testing.
 
- Submitted by
 - NSJ Bioreagents (provider)
 - Main image
 
- Experimental details
 - IHC staining of FFPE human intestinal cancer tissue with KDM5B antibody. HIER: boil tissue sections in pH8 EDTA for 20 min and allow to cool before testing.
 
- Submitted by
 - NSJ Bioreagents (provider)
 - Main image
 
- Experimental details
 - IHC staining of FFPE mouse testis tissue with KDM5B antibody. HIER: boil tissue sections in pH8 EDTA for 20 min and allow to cool before testing.
 
- Submitted by
 - NSJ Bioreagents (provider)
 - Main image
 
- Experimental details
 - IHC staining of FFPE rat testis tissue with KDM5B antibody. HIER: boil tissue sections in pH8 EDTA for 20 min and allow to cool before testing.
 
							
					Supportive validation
					
									
				
		- Submitted by
 - NSJ Bioreagents (provider)
 - Main image
 
- Experimental details
 - Flow cytometry testing of fixed and permeabilized human U-2 OS cells with KDM5B antibody at 1ug/million cells (blocked with goat sera); Red=cells alone, Green=isotype control, Blue= KDM5B antibody.