Antibody data
- Antibody Data
- Antigen structure
- References [4]
- Comments [0]
- Validations
- Immunohistochemistry [3]
Submit
Validation data
Reference
Comment
Report error
- Product number
- GTX21835 - Provider product page

- Provider
- GeneTex
- Proper citation
- GeneTex Cat#GTX21835, RRID:AB_384701
- Product name
- Myogenin antibody [F5D]
- Antibody type
- Monoclonal
- Reactivity
- Human, Mouse, Rat, Feline
- Host
- Mouse
Submitted references Dual roles of palladin protein in in vitro myogenesis: inhibition of early induction but promotion of myotube maturation.
5-azacytidine promotes the transdifferentiation of cardiac cells to skeletal myocytes.
Insulin-stimulated phosphorylation of the Rab GTPase-activating protein TBC1D1 regulates GLUT4 translocation.
Regulation of glucose transporters by insulin and extracellular glucose in C2C12 myotubes.
Nguyen NU, Wang HV
PloS one 2015;10(4):e0124762
PloS one 2015;10(4):e0124762
5-azacytidine promotes the transdifferentiation of cardiac cells to skeletal myocytes.
Kaur K, Yang J, Eisenberg CA, Eisenberg LM
Cellular reprogramming 2014 Oct;16(5):324-30
Cellular reprogramming 2014 Oct;16(5):324-30
Insulin-stimulated phosphorylation of the Rab GTPase-activating protein TBC1D1 regulates GLUT4 translocation.
Peck GR, Chavez JA, Roach WG, Budnik BA, Lane WS, Karlsson HK, Zierath JR, Lienhard GE
The Journal of biological chemistry 2009 Oct 30;284(44):30016-23
The Journal of biological chemistry 2009 Oct 30;284(44):30016-23
Regulation of glucose transporters by insulin and extracellular glucose in C2C12 myotubes.
Nedachi T, Kanzaki M
American journal of physiology. Endocrinology and metabolism 2006 Oct;291(4):E817-28
American journal of physiology. Endocrinology and metabolism 2006 Oct;291(4):E817-28
No comments: Submit comment
Supportive validation
- Submitted by
- GeneTex (provider)
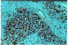
- Main image

- Experimental details
- Formalin fixed paraffin embedded human rhabdomyosarcoma stained with Myogenin antibody (GTX21835).
- Submitted by
- GeneTex (provider)
- Main image

- Experimental details
- Formalin fixed paraffin embedded human rhabdomyosarcoma stained with Myogenin using ABC and AEC chromogen.
- Submitted by
- GeneTex (provider)
- Main image

- Experimental details
- IHC-P analysis of human rhabdomyosarcoma using GTX21835 Myogenin antibody [F5D].