Antibody data
- Antibody Data
- Antigen structure
- References [0]
- Comments [0]
- Validations
- Immunohistochemistry [1]
Submit
Validation data
Reference
Comment
Report error
- Product number
- Z2462ML - Provider product page

- Provider
- Invitrogen Antibodies
- Product name
- Myogenin Monoclonal Antibody (ZM149)
- Antibody type
- Monoclonal
- Antigen
- Recombinant full-length protein
- Reactivity
- Human
- Host
- Mouse
- Isotype
- IgG
- Antibody clone number
- ZM149
- Vial size
- 1 mL
- Concentration
- 200 µg/mL
- Storage
- 4° C
No comments: Submit comment
Supportive validation
- Submitted by
- Invitrogen Antibodies (provider)
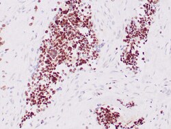
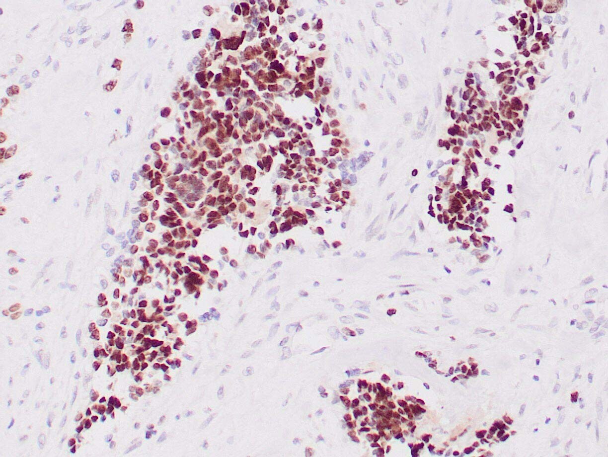
- Main image

- Experimental details
- Human rhabdomyosarcoma stained with anti-Myogenin antibody using peroxidase-conjugate and DAB chromogen. Note nuclear staining of tumor cells.