Antibody data
- Antibody Data
 - Antigen structure
 - References [0]
 - Comments [0]
 - Validations
 - Immunohistochemistry [5]
 
Submit
Validation data
Reference
Comment
Report error
- Product number
 - LS-A104316 - Provider product page

 - Provider
 - LSBio
 - Product name
 - IHC-plus™ AVPR1B Antibody (C-Terminus, APC) LS-A104316
 - Antibody type
 - Polyclonal
 - Description
 - Immunoaffinity purified
 - Reactivity
 - Human
 - Host
 - Rabbit
 - Conjugate
 - Red dye
 - Storage
 - Aliquot and store undiluted at -20°C or below for up to 1 year. Can be stored undiluted at 4°C for up to 1 month. Avoid freeze-thaw cycles.
 
				No comments: Submit comment	
	
			
							
					Supportive validation
					
									
				
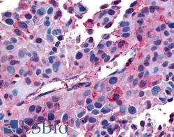
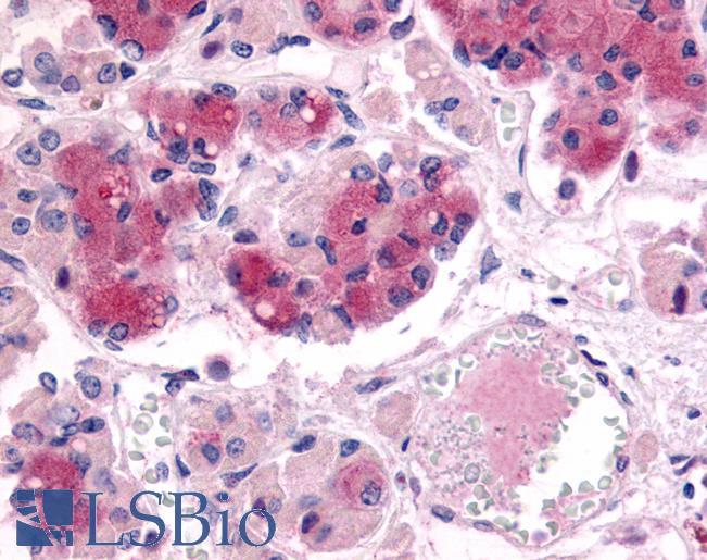
		- Submitted by
 - LSBio (provider)
 - Main image
 
- Experimental details
 - Anti-AVPR1B antibody IHC of human pancreas islet of Langerhans. Immunohistochemistry of formalin-fixed, paraffin-embedded tissue after heat-induced antigen retrieval.
 
- Submitted by
 - LSBio (provider)
 - Main image
 
- Experimental details
 - Anti-AVPR1B antibody IHC of human Skin, Melanoma. Immunohistochemistry of formalin-fixed, paraffin-embedded tissue after heat-induced antigen retrieval.
 
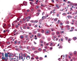
- Submitted by
 - LSBio (provider)
 - Main image
 
- Experimental details
 - Anti-AVPR1B antibody IHC of human malignant melanoma. Immunohistochemistry of formalin-fixed, paraffin-embedded tissue after heat-induced antigen retrieval. Antibody dilution 2-7 ug/ml.
 
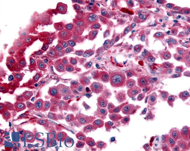
- Submitted by
 - LSBio (provider)
 - Main image
 
- Experimental details
 - Anti-AVPR1B antibody IHC of human Prostate, Carcinoma. Immunohistochemistry of formalin-fixed, paraffin-embedded tissue after heat-induced antigen retrieval.
 
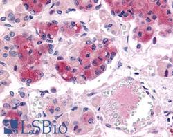
- Submitted by
 - LSBio (provider)
 - Main image
 
- Experimental details
 - Anti-AVPR1B antibody IHC of human pituitary. Immunohistochemistry of formalin-fixed, paraffin-embedded tissue after heat-induced antigen retrieval. Antibody dilution 2-7 ug/ml.