Antibody data
- Antibody Data
- Antigen structure
- References [0]
- Comments [0]
- Validations
- Western blot [1]
- Immunocytochemistry [1]
- Immunohistochemistry [6]
Submit
Validation data
Reference
Comment
Report error
- Product number
- UM500074 - Provider product page

- Provider
- OriGene
- Proper citation
- OriGene Cat#UM500074, RRID:AB_2629087
- Product name
- IRF6 mouse monoclonal antibody,clone UMAB106
- Antibody type
- Monoclonal
- Description
- IRF6 mouse monoclonal antibody,clone UMAB106
- Reactivity
- Canine
- Host
- Mouse
- Conjugate
- Unconjugated
- Epitope
- IRF6
- Isotype
- IgG
- Antibody clone number
- UMAB106
- Vial size
- 100 µl
- Concentration
- 1.00mg/ml
No comments: Submit comment
Supportive validation
- Submitted by
- OriGene (provider)
- Main image

- Experimental details
- Western blot of cell lysates (35ug) from 9 different cell lines (1: HepG2, 2: HeLa, 3: SV-T2, 4: A549, 5: COS7, 6: Jurkat, 7: MDCK, 8: PC-12, 9: MCF7). Diluation: 1:500
- Validation comment
- WB
Supportive validation
- Submitted by
- OriGene (provider)
- Main image

- Experimental details
- Immunofluorescent staining of HeLa cells using anti-IRF6 mouse monoclonal antibody (UM500074, green, 1:100). Actin filaments were labeled with TRITC-phalloidin (red), and nuclear with DAPI (blue).
- Validation comment
- IF
Supportive validation
- Submitted by
- OriGene (provider)
- Main image

- Experimental details
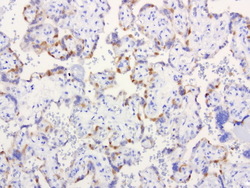
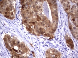
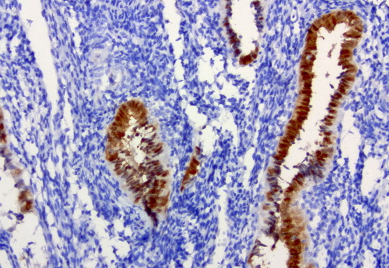
- Immunohistochemical staining of paraffin-embedded Carcinoma of Human lung tissue using anti-IRF6 mouse monoclonal antibody. (UM500074; heat-induced epitope retrieval by 10mM citric buffer, pH6.0, 120C for 3min)
- Validation comment
- IHC
- Submitted by
- OriGene (provider)
- Main image

- Experimental details
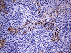
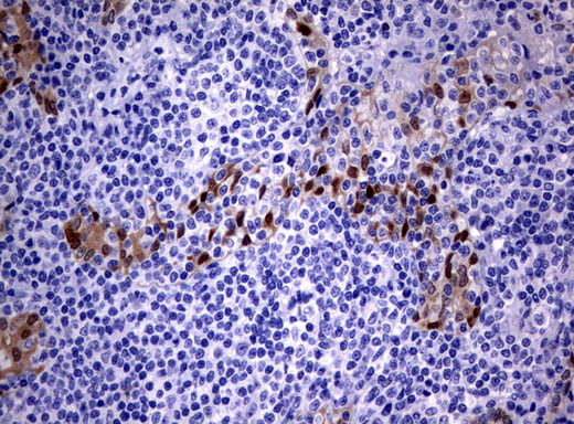
- Immunohistochemical staining of paraffin-embedded Human lymphoma tissue using anti-IRF6 mouse monoclonal antibody. (UM500074; heat-induced epitope retrieval by 10mM citric buffer, pH6.0, 120C for 3min)
- Validation comment
- IHC
- Submitted by
- OriGene (provider)
- Main image

- Experimental details
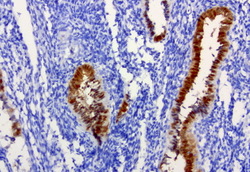
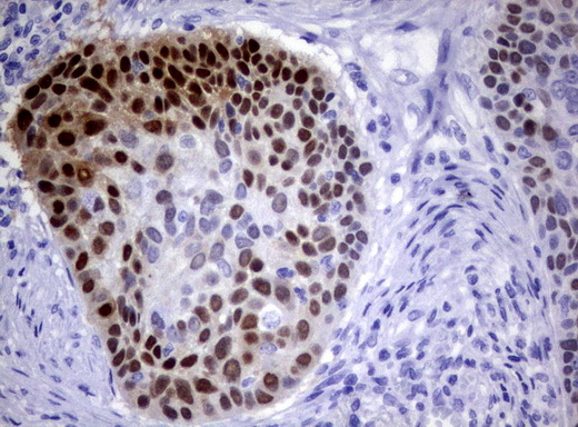
- Immunohistochemical staining of paraffin-embedded human placenta using anti-IRF6 clone UMAB106 mouse monoclonal antibody at 1:200 with Polink2 Broad HRP DAB detection kit (UM500074); heat-induced epitope retrieval with citrate buffer, pH6.0at 95-100C. Strong nuclear staining is seen in placenta.
- Validation comment
- IHC
- Submitted by
- OriGene (provider)
- Main image

- Experimental details
- Immunohistochemical staining of paraffin-embedded human endometrium using anti-IRF6 clone UMAB106 mouse monoclonal antibody at 1:200 with Polink2 Broad HRP DAB detection kit (UM500074); heat-induced epitope retrieval with citrate buffer, pH6.0at 95-100C. Strong nuclear staining is seen in placenta.
- Validation comment
- IHC
- Submitted by
- OriGene (provider)
- Main image

- Experimental details
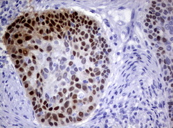
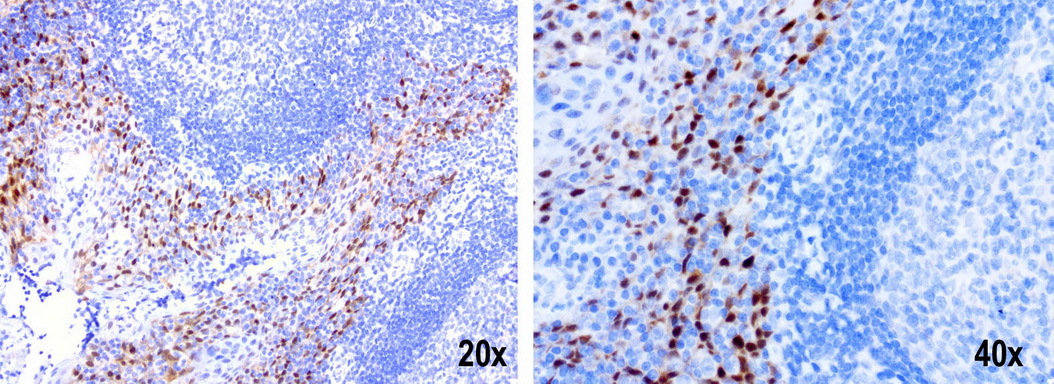
- Immunohistochemical staining of paraffin-embedded human tonsil composit using anti-IRF6 clone UMAB106 mouse monoclonal antibody at 1:200 with Polink2 Broad HRP DAB detection kit (UM500074); heat-induced epitope retrieval with citrate buffer, pH6.0at 95-100C. Strong nuclear staining is seen in both the 20 and 40x however the 20x reveal the the squamous epithelial are positive for IRF6 and the cells of the germinal and non germinal centers are negative for IRF6.
- Validation comment
- IHC
- Submitted by
- OriGene (provider)
- Main image

- Experimental details
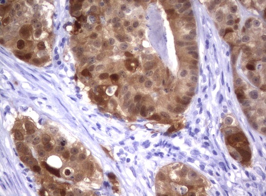
- Immunohistochemical staining of paraffin-embedded Adenocarcinoma of Human colon tissue using anti-IRF6 mouse monoclonal antibody. (UM500074; heat-induced epitope retrieval by 10mM citric buffer, pH6.0, 120C for 3min)
- Validation comment
- IHC