Antibody data
- Antibody Data
- Antigen structure
- References [1]
- Comments [0]
- Validations
- Western blot [1]
- Immunohistochemistry [1]
Submit
Validation data
Reference
Comment
Report error
- Product number
- PAB13059 - Provider product page

- Provider
- Abnova Corporation
- Proper citation
- Abnova Corporation Cat#PAB13059, RRID:AB_10556496
- Product name
- NENF polyclonal antibody
- Antibody type
- Polyclonal
- Description
- Rabbit polyclonal antibody raised against synthetic peptide of NENF.
- Storage
- Store at 4°C for three months. For long term storage store at -20°C.Aliquot to avoid repeated freezing and thawing.
Submitted references Neudesin, a novel secreted protein with a unique primary structure and neurotrophic activity.
Kimura I, Yoshioka M, Konishi M, Miyake A, Itoh N
Journal of neuroscience research 2005 Feb 1;79(3):287-94
Journal of neuroscience research 2005 Feb 1;79(3):287-94
No comments: Submit comment
Supportive validation
- Submitted by
- Abnova Corporation (provider)
- Main image

- Experimental details
- Western blot analysis of NENF in human kidney tissue lysate with NENF polyclonal antibody (Cat # PAB13059) at (A) 1 and (B) 2 ug/mL .
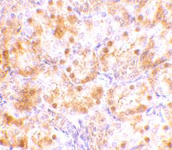
Supportive validation
- Submitted by
- Abnova Corporation (provider)
- Main image

- Experimental details
- Immunohistochemical staining of rat kidney tissue with 10 ug/mL NENF polyclonal antibody (Cat # PAB13059).
- Validation comment
- Immunohistochemistry