Antibody data
- Antibody Data
- Antigen structure
- References [0]
- Comments [0]
- Validations
- Immunocytochemistry [2]
- Immunohistochemistry [6]
Submit
Validation data
Reference
Comment
Report error
- Product number
- PA5-61270 - Provider product page

- Provider
- Invitrogen Antibodies
- Product name
- FLVCR1 Polyclonal Antibody
- Antibody type
- Polyclonal
- Antigen
- Recombinant protein fragment
- Description
- Immunogen sequence: KSDLRRHNIN IGITNVDVKA IPADSPTDQE PKTVMLSKQS ESAI Highest antigen sequence identity to the following orthologs: Mouse - 68%, Rat - 50%.
- Reactivity
- Human
- Host
- Rabbit
- Isotype
- IgG
- Vial size
- 100 μL
- Concentration
- 0.2 mg/mL
- Storage
- Store at 4°C short term. For long term storage, store at -20°C, avoiding freeze/thaw cycles.
No comments: Submit comment
Supportive validation
- Submitted by
- Invitrogen Antibodies (provider)
- Main image

- Experimental details
- Immunofluorescent staining of FLVCR1 in human cell line CACO-2 using a FLVCR1 Polyclonal Antibody (Product # PA5-61270) shows localization to cell junctions.
- Submitted by
- Invitrogen Antibodies (provider)
- Main image

- Experimental details
- Immunofluorescent staining of FLVCR1 in human cell line CACO-2 using a FLVCR1 Polyclonal Antibody (Product # PA5-61270) shows localization to cell junctions.
Supportive validation
- Submitted by
- Invitrogen Antibodies (provider)
- Main image

- Experimental details
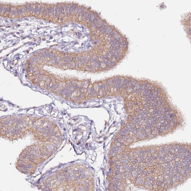
- Immunohistochemical analysis of FLVCR1 in human fallopian tube using FLVCR1 Polyclonal Antibody (Product # PA5-61270) shows moderate membranous positivity in glandular cells.
- Submitted by
- Invitrogen Antibodies (provider)
- Main image

- Experimental details
- Immunohistochemical analysis of FLVCR1 in human prostate using FLVCR1 Polyclonal Antibody (Product # PA5-61270) shows moderate membranous positivity in glandular cells.
- Submitted by
- Invitrogen Antibodies (provider)
- Main image

- Experimental details
- Immunohistochemical analysis of FLVCR1 in human testis using FLVCR1 Polyclonal Antibody (Product # PA5-61270) shows moderate membranous positivity in cells in seminiferous ducts.
- Submitted by
- Invitrogen Antibodies (provider)
- Main image

- Experimental details
- Immunohistochemical staining of FLVCR1 in human small intestine using a FLVCR1 Polyclonal Antibody (Product # PA5-61270) shows strong cytoplasmic positivity in glandular cells.
- Submitted by
- Invitrogen Antibodies (provider)
- Main image

- Experimental details
- Immunohistochemical analysis of FLVCR1 in human fallopian tube using FLVCR1 Polyclonal Antibody (Product # PA5-61270) shows moderate membranous positivity in glandular cells.
- Submitted by
- Invitrogen Antibodies (provider)
- Main image

- Experimental details
- Immunohistochemical analysis of FLVCR1 in human prostate using FLVCR1 Polyclonal Antibody (Product # PA5-61270) shows moderate membranous positivity in glandular cells.