Antibody data
- Antibody Data
- Antigen structure
- References [0]
- Comments [0]
- Validations
- Western blot [1]
- Immunocytochemistry [1]
- Immunohistochemistry [2]
Submit
Validation data
Reference
Comment
Report error
- Product number
- F40257 - Provider product page

- Provider
- NSJ Bioreagents
- Product name
- TGFB2 Antibody
- Antibody type
- Monoclonal
- Description
- This highly specific TGFB2 antibody is suitable for use in Immunohistochemistry/Immunofluorescence/Western blot/ELISA applications with human samples.
- Reactivity
- Human
- Host
- Mouse
- Conjugate
- Unconjugated
- Antibody clone number
- 220ct16.4.3.1
- Vial size
- 0.08 ml, 0.4 ml
- Concentration
- In 1X PBS, pH 7.4, with 0.09% sodium azide
- Storage
- Aliquot the TGFB2 antibody and store frozen at -20oC or colder. Avoid repeated freeze-thaw cycles.
No comments: Submit comment
Supportive validation
- Submitted by
- NSJ Bioreagents (provider)
- Main image

- Experimental details
- TGFB2 antibody western blot analysis in A549 lysate. Predicted molecular weight ~50 kDa
Supportive validation
- Submitted by
- NSJ Bioreagents (provider)
- Main image

- Experimental details
- Confocal immunofluorescent analysis of TGFB2 antibody with A549 cells followed by Alexa Fluor 488-conjugated goat anti-rabbit lgG (green). DAPI was used as a nuclear counterstain (blue).
Supportive validation
- Submitted by
- NSJ Bioreagents (provider)
- Main image

- Experimental details
- TGFB2 antibody immunohistochemistry analysis in formalin fixed and paraffin embedded human colon carcinoma
- Submitted by
- NSJ Bioreagents (provider)
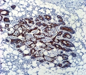
- Main image

- Experimental details
- TGFB2 antibody analysis in formalin fixed and paraffin embedded human breast carcinoma.