Antibody data
- Antibody Data
- Antigen structure
- References [0]
- Comments [0]
- Validations
- Western blot [1]
- Immunohistochemistry [1]
Submit
Validation data
Reference
Comment
Report error
- Product number
- LS-C824462 - Provider product page

- Provider
- LSBio
- Product name
- RAB3GAP2 / p150 Antibody LS-C824462
- Antibody type
- Polyclonal
- Description
- Affinity purified
- Reactivity
- Human, Mouse, Rat
- Host
- Rabbit
- Isotype
- IgG
- Storage
- Store at -20°C for up to 1 year.
No comments: Submit comment
Enhanced validation
- Submitted by
- LSBio (provider)
- Enhanced method
- Genetic validation
- Main image

- Experimental details
- Western blot analysis of extracts from COS cells, using RAB3GAP2 antibody.
Supportive validation
- Submitted by
- LSBio (provider)
- Main image

- Experimental details
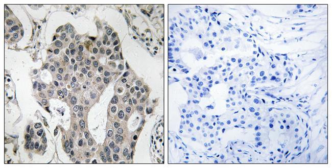
- Peptide - + Immunohistochemistry analysis of paraffin-embedded human breast carcinoma tissue using RAB3GAP2 antibody.