Antibody data
- Antibody Data
- Antigen structure
- References [0]
- Comments [0]
- Validations
- Western blot [1]
- Immunohistochemistry [6]
Submit
Validation data
Reference
Comment
Report error
- Product number
- LS-C357576 - Provider product page

- Provider
- LSBio
- Product name
- ROCK2 Antibody (aa652-923) LS-C357576
- Antibody type
- Polyclonal
- Description
- Immunogen affinity purified
- Reactivity
- Human, Mouse, Rat
- Host
- Rabbit
- Storage
- At -20°C for 1 year. After reconstitution, at 4°C for 1 month. It can also be aliquotted and stored frozen at -20°C for a longer time. Avoid freeze-thaw cycles.
No comments: Submit comment
Enhanced validation
- Submitted by
- LSBio (provider)
- Enhanced method
- Genetic validation
- Main image

- Experimental details
- ROCK2 antibody Western blot. All lanes: Anti ROCK2 at 0.5 ug/ml. Lane 1: Rat Brain Tissue Lysate at 50 ug. Lane 2: Rat Liver Tissue Lysate at 50 ug. Lane 3: HELA Whole Cell Lysate at 40 ug. Lane 4: CEM Whole Cell Lysate at 40 ug. Lane 5: A549 Whole Cell Lysate at 40 ug. Lane 6: MCF-7 Whole Cell Lysate at 40 ug. Predicted band size: 161 kD. Observed band size: 161 kD.
Supportive validation
- Submitted by
- LSBio (provider)
- Enhanced method
- Genetic validation
- Main image

- Experimental details
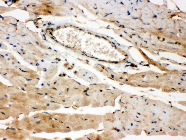
- ROCK2 antibody IHC-paraffin: Mouse Cardiac Muscle Tissue.
- Submitted by
- LSBio (provider)
- Enhanced method
- Genetic validation
- Main image

- Experimental details
- ROCK2 antibody IHC-paraffin: Rat Brain Tissue.
- Submitted by
- LSBio (provider)
- Enhanced method
- Genetic validation
- Main image

- Experimental details
- ROCK2 antibody IHC-paraffin: Human Mammary Cancer Tissue.
- Submitted by
- LSBio (provider)
- Enhanced method
- Genetic validation
- Main image

- Experimental details
- ROCK2 antibody IHC-paraffin: Mouse Cardiac Muscle Tissue.
- Submitted by
- LSBio (provider)
- Enhanced method
- Genetic validation
- Main image

- Experimental details
- ROCK2 antibody IHC-paraffin: Mouse Cardiac Muscle Tissue.
- Submitted by
- LSBio (provider)
- Enhanced method
- Genetic validation
- Main image

- Experimental details
- ROCK2 antibody IHC-paraffin: Human Mammary Cancer Tissue.