Antibody data
- Antibody Data
- Antigen structure
- References [2]
- Comments [0]
- Validations
- Western blot [1]
- Immunocytochemistry [1]
- Immunohistochemistry [2]
Submit
Validation data
Reference
Comment
Report error
- Product number
- 20368-1-AP - Provider product page

- Provider
- Proteintech Group
- Proper citation
- Proteintech Cat#20368-1-AP, RRID:AB_10695181
- Product name
- PHD2/EGLN1 antibody
- Antibody type
- Polyclonal
- Description
- PHD2/EGLN1 antibody (Cat. #20368-1-AP) is a rabbit polyclonal antibody that shows reactivity with human, mouse and has been validated for the following applications: IF, IHC, WB, ELISA.
- Reactivity
- Human, Mouse
- Host
- Rabbit
- Conjugate
- Unconjugated
- Isotype
- IgG
- Vial size
- 20ul, 150ul
Submitted references CHD1 deletion stabilizes HIF1α to promote angiogenesis and glycolysis in prostate cancer.
iASPP is essential for HIF-1α stabilization to promote angiogenesis and glycolysis via attenuating VHL-mediated protein degradation.
Wang YZ, Qian YC, Yang WJ, Ye LH, Guo GD, Lv W, Huan MX, Feng XY, Wang K, Yang Z, Gao Y, Li L, Chen YL
Asian journal of andrology 2023 Mar-Apr;25(2):152-157
Asian journal of andrology 2023 Mar-Apr;25(2):152-157
iASPP is essential for HIF-1α stabilization to promote angiogenesis and glycolysis via attenuating VHL-mediated protein degradation.
Zhao D, Zheng S, Wang X, Liu H, Zhao K, Li L, Hu Y
Oncogene 2022 Mar;41(13):1944-1958
Oncogene 2022 Mar;41(13):1944-1958
No comments: Submit comment
Supportive validation
- Submitted by
- Proteintech Group (provider)
- Main image

- Experimental details
- HEK-293 cells were subjected to SDS PAGE followed by western blot with 20368-1-AP(EGLN1 antibody) at dilution of 1:800
- Sample type
- cell line
Supportive validation
- Submitted by
- Proteintech Group (provider)
- Main image

- Experimental details
- Immunofluorescent analysis of HepG2 cells, using EGLN1 antibody 20368-1-AP at 1:25 dilution and Rhodamine-labeled goat anti-rabbit IgG (red).
- Sample type
- cell line
Supportive validation
- Submitted by
- Proteintech Group (provider)
- Main image

- Experimental details
- Immunohistochemical of paraffin-embedded human pancreas using 20368-1-AP(EGLN1 antibody) at dilution of 1:100 (under 10x lens)
- Sample type
- tissue
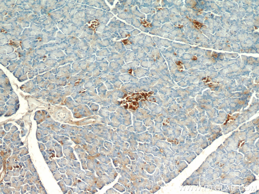
- Submitted by
- Proteintech Group (provider)
- Main image

- Experimental details
- Immunohistochemical of paraffin-embedded human pancreas using 20368-1-AP(EGLN1 antibody) at dilution of 1:100 (under 40x lens)
- Sample type
- tissue