Antibody data
- Antibody Data
- Antigen structure
- References [0]
- Comments [0]
- Validations
- Western blot [1]
- Immunohistochemistry [1]
Submit
Validation data
Reference
Comment
Report error
- Product number
- MAB76801-100 - Provider product page

- Provider
- R&D Systems
- Product name
- Human/Mouse EGLN1/PHD2 Antibody
- Antibody type
- Monoclonal
- Description
- Protein A or G purified from cell culture supernatant. Detects human EGLN1/PHD2 in direct ELISAs. Detects human and mouse EGLN1/PHD2 in Western blots.
- Reactivity
- Human, Mouse
- Host
- Rabbit
- Conjugate
- Unconjugated
- Antigen sequence
Q9QZT9- Isotype
- IgG
- Antibody clone number
- 2445D
- Vial size
- 100 ug
- Storage
- Use a manual defrost freezer and avoid repeated freeze-thaw cycles. 12 months from date of receipt, -20 to -70 °C as supplied. 1 month, 2 to 8 °C under sterile conditions after reconstitution. 6 months, -20 to -70 °C under sterile conditions after reconstitution.
No comments: Submit comment
Supportive validation
- Submitted by
- R&D Systems (provider)
- Main image

- Experimental details
- Detection of Human and Mouse EGLN1/PHD2 by Western Blot. Western blot shows lysates of PC-3 human prostate cancer cell line, HEK293T human embryonic kidney cell line, and NIH-3T3 mouse embryonic fibroblast cell line. PVDF membrane was probed with 1 µg/mL of Rabbit Anti-Human/Mouse EGLN1/PHD2 Monoclonal Antibody (Catalog # MAB76801) followed by HRP-conjugated Anti-Rabbit IgG Secondary Antibody (Catalog # HAF008). A specific band was detected for EGLN1/PHD2 at approximately 50 kDa (as indicated). This experiment was conducted under reducing conditions and using Immunoblot Buffer Group 1.
Supportive validation
- Submitted by
- R&D Systems (provider)
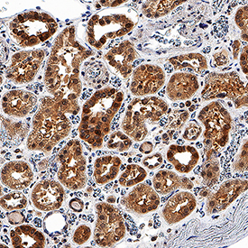
- Main image

- Experimental details
- EGLN1/PHD2 in Human Kidney. EGLN1/PHD2 was detected in immersion fixed paraffin-embedded sections of human kidney using Rabbit Anti-Human/Mouse EGLN1/PHD2 Monoclonal Antibody (Catalog # MAB76801) at 3 µg/mL for 1 hour at room temperature followed by incubation with the Anti-Rabbit IgG VisUCyte™ HRP Polymer Antibody (Catalog # VC003). Before incubation with the primary antibody, tissue was subjected to heat-induced epitope retrieval using Antigen Retrieval Reagent-Basic (Catalog # CTS013). Tissue was stained using DAB (brown) and counterstained with hematoxylin (blue). Specific staining was localized to cytoplasm and nuclei in convoluted tubules. View our protocol for IHC Staining with VisUCyte HRP Polymer Detection Reagents.