Antibody data
- Antibody Data
- Antigen structure
- References [0]
- Comments [0]
- Validations
- Western blot [1]
- Immunohistochemistry [5]
Submit
Validation data
Reference
Comment
Report error
- Product number
- NBP1-86170 - Provider product page

- Provider
- Novus Biologicals
- Proper citation
- Novus Cat#NBP1-86170, RRID:AB_11028183
- Product name
- Rabbit Polyclonal TOM1 Antibody
- Antibody type
- Polyclonal
- Description
- Immunogen affinity purified. Specificity of human TOM1 antibody verified on a Protein Array containing target protein plus 383 other non-specific proteins.
- Reactivity
- Human
- Host
- Rabbit
- Isotype
- IgG
- Vial size
- 0.1 ml
- Storage
- Store at 4C short term. Aliquot and store at -20C long term. Avoid freeze-thaw cycles.
No comments: Submit comment
Supportive validation
- Submitted by
- Novus Biologicals (provider)
- Main image

- Experimental details
- Western Blot: TOM1 Antibody [NBP1-86170] - Lane 1: Marker [kDa] 207, 110, 79, 49, 32, 25, 17. Lane 2: Human cell line RT-4. Lane 3: Human cell line EFO-21. Lane 4: Human cell line A-431. Lane 5: Human liver tissue. Lane 6: Human tonsil tissue
Supportive validation
- Submitted by
- Novus Biologicals (provider)
- Main image

- Experimental details
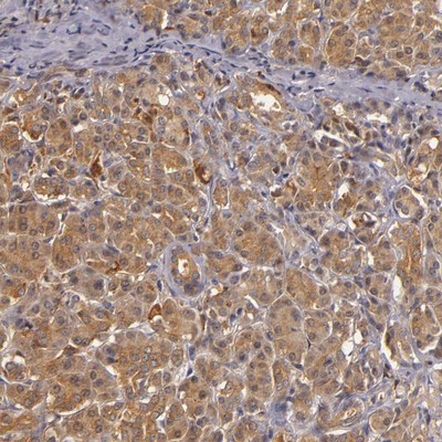
- Immunohistochemistry-Paraffin: TOM1 Antibody [NBP1-86170] - Staining of human pancreas shows moderate cytoplasmic positivity in exocrine glandular cells.
- Submitted by
- Novus Biologicals (provider)
- Main image

- Experimental details
- Immunohistochemistry-Paraffin: TOM1 Antibody [NBP1-86170] - Staining of human kidney shows moderate cytoplasmic positivity in cells in tubules.
- Submitted by
- Novus Biologicals (provider)
- Main image

- Experimental details
- Immunohistochemistry-Paraffin: TOM1 Antibody [NBP1-86170] - Staining of human endometrium shows moderate cytoplasmic positivity in glandular cells.
- Submitted by
- Novus Biologicals (provider)
- Main image

- Experimental details
- Immunohistochemistry-Paraffin: TOM1 Antibody [NBP1-86170] - Staining of human gastrointestinal shows moderate cytoplasmic positivity in glandular cells.
- Submitted by
- Novus Biologicals (provider)
- Main image

- Experimental details
- Immunohistochemistry-Paraffin: TOM1 Antibody [NBP1-86170] - Staining of human cerebral cortex shows strong cytoplasmic positivity in neurons.