ABIN439768
antibody from antibodies-online
Targeting: ARID4B
BCAA, BRCAA1, RBP1L1, SAP180
Antibody data
- Antibody Data
- Antigen structure
- References [1]
- Comments [0]
- Validations
- Western blot [1]
- Immunohistochemistry [3]
Submit
Validation data
Reference
Comment
Report error
- Product number
- ABIN439768 - Provider product page

- Provider
- antibodies-online
- Product name
- anti-RBP1-like protein (ARID4B) (AA 125-175) antibody
- Antibody type
- Polyclonal
- Description
- Immunogen affinity purified
- Reactivity
- Human
- Host
- Rabbit
- Epitope
- AA 125-175
- Vial size
- 100 μL
- Storage
- Store at 4°C. Do not freeze.
- Handling
- Do not freeze.
Submitted references Hypoxia-mediated downregulation of miRNA biogenesis promotes tumour progression.
Rupaimoole R, Wu SY, Pradeep S, Ivan C, Pecot CV, Gharpure KM, Nagaraja AS, Armaiz-Pena GN, McGuire M, Zand B, Dalton HJ, Filant J, Miller JB, Lu C, Sadaoui NC, Mangala LS, Taylor M, van den Beucken T, Koch E, Rodriguez-Aguayo C, Huang L, Bar-Eli M, Wouters BG, Radovich M, Ivan M, Calin GA, Zhang W, Lopez-Berestein G, Sood AK
Nature communications 2014 Oct 29;5:5202
Nature communications 2014 Oct 29;5:5202
No comments: Submit comment
Supportive validation
- Submitted by
- antibodies-online (provider)
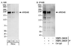
- Main image

- Experimental details
- WB
Supportive validation
- Submitted by
- antibodies-online (provider)
- Main image

- Experimental details
- IHC
- Submitted by
- antibodies-online (provider)
- Main image

- Experimental details
- IHC
- Submitted by
- antibodies-online (provider)
- Main image

- Experimental details
- IHC