Antibody data
- Antibody Data
 - Antigen structure
 - References [0]
 - Comments [0]
 - Validations
 - Immunohistochemistry [2]
 
Submit
Validation data
Reference
Comment
Report error
- Product number
 - PA5-112351 - Provider product page

 - Provider
 - Invitrogen Antibodies
 - Product name
 - ADSS Polyclonal Antibody
 - Antibody type
 - Polyclonal
 - Antigen
 - Recombinant full-length protein
 - Reactivity
 - Human, Mouse
 - Host
 - Rabbit
 - Isotype
 - IgG
 - Vial size
 - 100 μL
 - Concentration
 - 0.98 mg/mL
 - Storage
 - -20°C or -80°C if preferred
 
				No comments: Submit comment	
	
			
							
					Supportive validation
					
									
				
		- Submitted by
 - Invitrogen Antibodies (provider)
 - Main image
 
- Experimental details
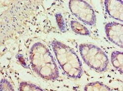
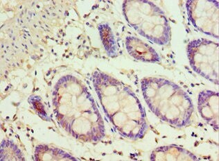
 - Immunocytochemical analysis of paraffin-embeded ADSS in human colon tissue using a ADSS Polyclonal antibody (Product # PA5-112351) at a dilution of 1:100.
 
- Submitted by
 - Invitrogen Antibodies (provider)
 - Main image
 
- Experimental details
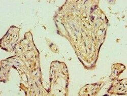
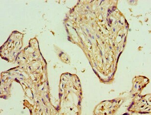
 - Immunocytochemical analysis of paraffin-embeded ADSS in human placenta tissue using a ADSS Polyclonal antibody (Product # PA5-112351) at a dilution of 1:100.